本报讯(记者 朱晓娟 通讯员 张晓华)48岁的靳先生怎么也没想到,自己胸闷、咽不下饭的小毛病,竟藏着要命的危机——胸腔里的肿瘤不仅“啃”坏了大血管,还钻进了心脏……近日,在河南省人民医院多学科团队的联手攻坚下,这场全国少见的高难度手术顺利为患者架起了新的生命通道。

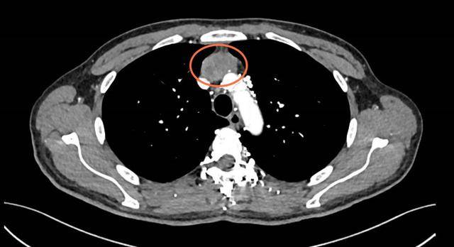
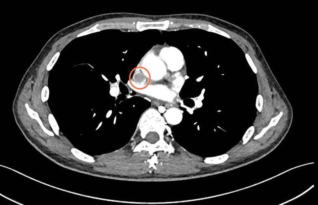
“一开始就是觉得胸口闷,后来连馒头都咽着费劲,走两步就喘得不行。”回忆起就诊前的日子,靳先生仍心有余悸。在河南省人民医院胸外科,检查结果让所有人都捏了把汗。CT(计算机层析成像)影像里,一个差不多拳头大小的纵隔肿瘤盘踞在胸腔里。更凶险的是,这颗肿瘤不仅死死裹住了上腔静脉(血液流回心脏的“主干道”),还咬破血管壁,钻进了心脏内部。


“血管已经被压得变了形,再晚一步可能完全堵死,到时候头脸肿、憋气会更严重,甚至肿瘤碎块掉下来,还会引发致命的肺栓塞。”胸外科主任魏立解释道。
靳先生咽不下饭的症状,是身体发出的“病危预警”——肿瘤打乱了免疫系统,产生的抗体攻击神经和肌肉,引发了重症肌无力,“现在是咽东西费劲,再发展下去可能连呼吸的力气都没了”。
面对这么棘手的情况,该院胸外科联合肿瘤内科、心脏及血管外科、神经内科、麻醉与围术期医学科、医学影像科的专家们共同商讨对策。靳先生患有重症肌无力,直接手术可能诱发“危象”——要么呼吸肌瘫软没法喘气,要么出现瞳孔缩小、浑身出汗的危险反应。肿瘤缠在大血管上还钻进心脏,手术时既要切除肿瘤,又要置换血管,且纵隔空间狭窄,稍微碰错地方就可能大出血,或因脑部回血不畅变成“植物人”。这种手术难度极高,全国每年公开报道的仅有四五例。
经反复讨论,专家们最终定下方案:先做两个周期的辅助治疗稳住病情,再做“纵隔肿瘤根治切除+上腔静脉人工血管置换术”,把肿瘤完整“摘”下来,最后用人工血管替换被“啃”坏的大血管,重新打通回血通道。
经过周密准备,手术如期进行。麻醉与围术期医学科主任张加强、王旭团队为患者精准调控血压、心率,确保手术中血流稳定。接着,胸外科魏立、杨军峰、王建军团队上场,在狭窄的胸腔里,一点点把肿瘤从心脏、肺、神经上剥离开,最终完整切除,还清扫了周边可能受影响的组织。
肿瘤刚被“摘”下来,心脏及大血管外科梁凯团队立刻接力,精准切除被肿瘤侵犯的上腔静脉病变段,并把一段14厘米长的特制人工血管,接到剩余的上腔静脉上,重新打通上半身回血的“高速公路”。
4小时后,手术顺利结束。术中出血控制良好,靳先生的生命体征平稳。术后没几天,靳先生胸闷、咽不下饭的症状消失,复查结果显示:肿瘤切除彻底,人工血管通畅,血流恢复良好。
专家提醒,纵隔在胸腔深处,肿瘤早期无明显症状,很多人直到不适加重才来就诊,容易耽误病情。如果出现胸口闷、疼,咳嗽老不好,声音突然变哑;咽东西费劲,喝水容易呛;头脸、胳膊突然肿起来,按一下还疼等情况,一定要及时去正规医院胸外科检查。早发现、早治疗,才能避免肿瘤“搞破坏”。