本文导读
● 生殖器疱疹的传染源
● 感染途径与感染症状
● 为什么反复病发,难以根治?
生殖器疱疹是什么?

生殖器疱疹是一种慢性的终身感染的性传播性疾病,以周期性复发为特征,感染区域多为泌尿生殖器及肛周皮肤黏膜,严重时全身可发作。
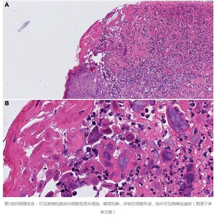
典型的单纯疱疹病毒感染表现为红斑基础上群集分布的小水泡和溃疡,伴有瘙痒、烧灼感和疼痛,常发生于皮肤粘膜交界处。

它是由单纯疱疹病毒(herpes simplex virus,HSV)引起的,主要分为两种类型:HSV-1和HSV-2,好发于15-45岁的性活跃人群。
生殖器疱疹患者中,约90%由单纯疱疹病毒Ⅱ型(HSV-2)感染所致。
生殖器疱疹的症状表现
感染病毒后,大多数人没有症状或症状较轻。
生殖器疱疹一般长在生殖器附近,除生殖器部位外,其他部位也有生殖器疱疹发生,如脸部、臀部、乳房、直肠及四肢。
原发性生殖器疱疹表现为:患部外生殖器及生殖器周围、肛门及肛周出现小的、单个或成片的瘙痒的水疱,有烧灼感和疼痛感,水疱破裂后会形成疼痛的溃疡,症状可持续4周。
男性感染后多发于龟头、冠状沟、阴囊、尿道口或阴茎体。
女性感染后多发于会阴部、肛门周围、大腿或臀部,约有90%同时侵犯子宫颈。
有的原发疱疹仅仅累及子宫颈,故而易被忽略。感染的疱疹病毒时,宫颈外观可以正常或潮红,或伴有多个散在的溃疡。
传染源及传染途径

HSV-2病毒存在于感染者皮肤和破损粘膜的渗液、精液、前列腺、宫颈、阴道分泌液中。
因此,生殖器疱疹患者、亚临床或无症状排毒者是主要传染源,有皮损表现者传染性强。
需要特别注意的是,亚临床型生殖器疱疹的不典型皮损可表现为生殖器部位的微小裂隙、溃疡等,易被忽略或误诊。
传染途径
● 性接触传播
● 母婴传播
● 间接接触感染
注意:部分肛交者可在肛门及直肠部位发生感染。

生殖器疱疹的感染机制:HSV经皮肤黏膜破损处侵犯人体,病毒充分复制感染自主神经末梢,并向周围组织蔓延。
HSV有嗜感觉神经节的特性,常潜伏在骶神经节区,这也是生殖器疱疹复发及难以根治的主要原因。
被感染后,会引起初发性生殖器疱疹。初发性生殖器疱疹消退后,残存的病毒经周围神经沿神经轴转移至骶神经节而长期潜伏下来。
当机体抵抗力降低或某些激发因素如发热、受凉、感染、月经、胃肠功能紊乱、创伤等作用下,可使潜伏的病毒激活,病毒下行至皮肤黏膜表面引起病损,导致复发。
生殖器疱疹还可通过胎盘及产道感染新生儿,导致新生儿先天性感染。
筛查及诊断
No.1
诊断分类:
①临床诊断病例:符合下列临床表现,同时有或无流行病学史及HSV-2特异性血清抗体检测
阳性;
②确诊病例:符合临床诊断病例,并且病毒培养、抗原检测、核酸检测中任一项阳性。
No.2
分析及筛查分类:
● 流行病学史:有不安全性行为史,或多性伴史,或性伴感染史。
● 临床表现:
初发性生殖器疱疹:指第1次出现临床表现的生殖器疱疹,潜伏期2-20天,平均6天。
初起为红斑和丘疱疹,很快发展为集簇或散在的小水疱,2-4天后破溃形成糜烂或浅表溃疡,有烧灼感和疼痛。病程可持续2-3周。
此外,尚有复发性生殖器疱疹,特殊类型的生殖器疱疹(疱疹性宫颈炎、疱疹性直肠炎等)和亚临床感染。
● 实验室检查:包括HSV核酸检测、病毒分离培养、HSV抗原检测、HSV-2特异性抗体检测等。

①病毒分离培养:HSV细胞培养阳性是病原学诊断的金标准,初发生殖器疱疹病毒载量高于复发性,其中以水疱性皮损的病毒培养阳性率较高。
②核酸检测:实时荧光定量PCR法与病毒培养方法相比,免于严格的样品贮存和运输条件;比传统PCR法更快速的对HSV进行检测和分型,且污染风险更低。
③特异性血清学检测:HSV感染数周后,机体持续产生两种HSV抗体特异性糖蛋白G1和糖蛋白G2型,司以对HSV-1和HSV-2病毒感染进行区分。
如何预防生殖器疱疹?

● 科学及规范使用安全套等屏障式避孕措施。
男用款安全套及女用款的规范使用方法请阅读:《#学习分享216#体外射精、安全期避孕有多不靠谱!高效避孕方法有哪些?》
● 出现生殖器及周边皮损时,尽量减少性行为。应等待痊愈康复后再进行。因为皮损出现时进行性生活,即使使用安全套也可能发生生殖器疱疹的性传播。
● 避免不安全性行为,如肛交、滥交等。
● 不与生殖器疱疹患者共用个人卫生用品,例如牙刷、内衣物等。
● 妇女在怀孕前应进行相关筛查,避免垂直传播给婴儿。
生殖器疱疹如何治?

NO.1 治疗目的
● 消除症状
● 减轻传染性
● 减少并发症
● 预防或减少复发
● 提高患者生活质量
NO.2 治疗方案参考
● 初发性生殖器疱疹:
①西医治疗主要采用口服阿昔洛韦200mg每日5次,共7-10天;或阿昔洛韦400mg每日3次,共7-10天;或伐昔洛韦500mg口服每日2次,共7-10天;或泛昔洛韦250mg每日3次,共7- 10天。
②中医内服治疗:清肝利湿解毒,可考虑用龙胆泻肝汤加减治疗(药物:龙胆草8g、炒栀子8g、泽泻10g、生地12g、虎杖10g、紫草10g、丹皮10g、茵陈15g、板蓝根15g、苍术12g、苡薏仁15g、甘草5g)。大便秘结者酌加大黄10g;疼痛明显者可加郁金12g、赤芍12g、三七末3g(冲服)。每日1剂,水煎服,疗程为5-7天。亦可选用中成药龙胆泻肝丸治疗。
● 复发性生殖器疱疹:
①发作频率每年6次,复发皮损少,自觉症状轻,可选择西医或中医治疗;
②发作频率每年>6次,复发皮损多,自觉症状重,建议选择中西医结合治疗。中医治疗可参照初发性生殖器疱疹的中医治疗方案。
③非发作期:治疗目的是预防复发或减少复发,建议选择中医调理治疗。