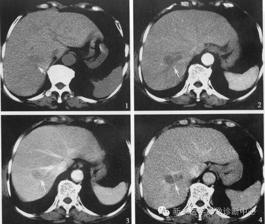
1、原发性肝细胞癌(HCC)
HCC是肝脏最常见的恶性肿瘤之一,90%合并肝硬化,原发性肝细胞癌的大体病理分型:结节型、巨块型、弥漫型。
(1)结节型:肿瘤呈结节状,与周围组织境界清楚,可有假被膜。一般早期无或极少向被膜外浸润或形成门脉内瘤栓。
可进一步分为单结节型,多结节型。
单结节型:与周围组织境界清楚单发结节。
多结节型:可见两个以上基本相同的癌结节。
(2)巨块型:癌组织向周围呈浸润性生长,与周围组织分界不清,不规则,形成巨大肿块。其内常有坏死,周围可有小结节。常形成门脉内肿瘤栓塞。
(3)弥漫型:肿瘤呈5~10mm直径大小之无数散在性小癌结节,不相互融合,分布于全肝,结节大小比较一致。常于门脉、肝静脉内形成瘤栓。
与影像诊断有关的病理组织学特征:
1.肿瘤由肝动脉供血,癌结节内分布于动脉性肿瘤血管。肿瘤细胞间之血窦形成及动静脉瘘均很明显。
2.门静脉、肝静脉内肿瘤栓塞发生率高。
3.肿瘤与周围组织交界部部分可见富于血管集簇之结缔组织被膜形成。
CT表现
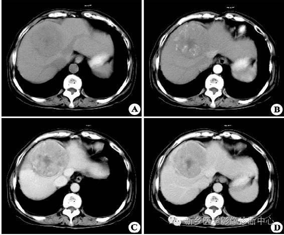
1.平扫:肿瘤一般呈低密度,少数呈等密度。
2.动脉期:肝癌血供丰富,动脉期肿瘤明显强化,小肝癌常为均一增强浓染,大肝癌由于内部形成分隔,有不同的血管结构,而成不均匀增强效果,其差别较大。
3.门脉期:呈低密度或等密度。
4.延时扫描为低密度。


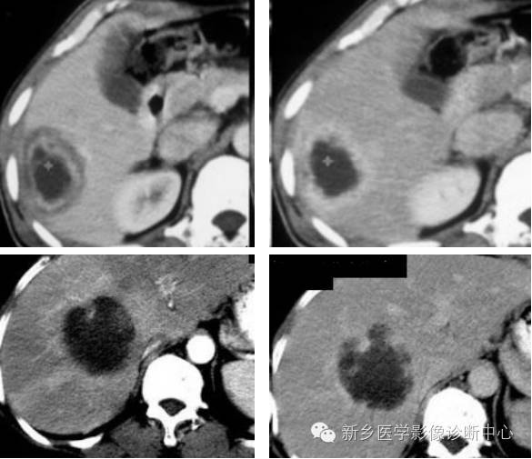
2、纤维板层型肝癌
1.临床特点
该型癌有如下特征:①青年人多见,女多于男(1.07:1);②血清HBV标志物多阴性;③血清AFP阴性;④不伴肝硬变;⑤肿瘤常为单个,多位于肝左叶,瘤体内可有钙化灶或中心瘢痕;肿瘤发现时体积常超过10cm。⑥分化程度好,生长缓慢;⑦切除后生存期长,平均32~68个月。该型肝癌在我国少见,在肝癌低发的某些西方国家多见。
2、病理特点
肿瘤大多为单个实性结节,以癌细胞巢间出现大量平行排列的板层状纤维组织及强嗜酸性颗粒状的癌细胞浆为其主要病理特点。癌细胞索被平行的板层状排列的胶质纤维隔开,因而称为纤维板层型肝细胞癌。
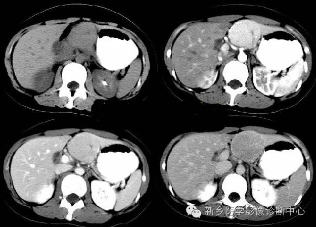
3、CT表现
CT表现:呈巨块型,边缘可有分叶,CT平扫呈等或低密度灶,分界清楚,可有包膜,中央有星状更低密度纤维瘢痕向周围放射。动脉期肿块明显强化,门静脉期肿块强化消退,中央瘢痕在动脉期及门脉期无明显强化,可见斑点状钙化。极少伴门静脉瘤栓形成。
FNH中央疤痕有延迟强化,而FLC的疤痕无强化。

3、肝血管瘤
肝血管瘤在组织学上分为海绵状血管瘤、硬化性血管瘤、血管内皮细胞瘤和毛细血管瘤。是肝脏最常见的良性肿瘤。肝脏的血管瘤多数为海绵状血管瘤。多无临床症状。
病理表现:单发或多发,可位于肝包膜下,向外突出于肝表面,也可比较深在。肿瘤被覆结缔组织被膜,与周围肝组织分界清楚,由充满血液的血管囊腔构成,囊腔间有纤维性分隔。肿瘤可发生纤维化,钙化及血栓形成。
CT表现特点:病灶多为圆形或类圆形,边界清楚但无假包膜。平扫呈均匀低密度,增强扫描病灶边缘呈明显的不连续的结节状强化,强化区域进行性向中心扩展。延迟扫描病灶呈高密度充填。较大的病灶中心可见始终不充填。

血管瘤与其他富血供肿瘤的鉴别:①血管瘤的强化与血管相当。②血管瘤在延迟影像上呈持续强化。③血管瘤有周围结节样强化,其环内缘呈波浪状,而肝转移瘤其强化环内缘凹凸不平。④血管瘤增强后呈进行性持续性、向心性强化,无“周围洗脱”现象。
4、肝腺瘤
肝腺瘤包括肝细胞腺瘤贺胆管腺瘤,通常所指的腺瘤为肝细胞腺瘤,而肝胆管腺瘤因其常含有囊性成分,又称为肝囊腺瘤。肝腺瘤多见于长期口服避孕药的育龄期妇女,偶见于儿童和男性。
病理表现:肿块常较大(有时8~10cm)。单发,圆球形,边界清晰,有包膜。位于肝脏外表面。易并发出血及囊变。
CT诊断要点:平扫呈边界清楚的低密度灶。增强扫描动脉期明显均匀强化。门脉期高或者等密度,延时期为低密度。少部分病例始终不强化,表现为低密度灶。

5、FNH
临床表现:多见于30-60岁女性。与肝腺瘤的区别在于肝腺瘤无胆管存在,巨噬细胞少见。FNH无出血倾向。常无症状。
病理特点:良性占位,常为单发,20%为多发。它是由结构紊乱的正常肝细胞、肝巨噬细胞、血管和胆管等构成。边界清晰,无包膜。主要是由中央纤维疤痕和周围增生的肝细胞结节与胆小管组成。缺乏正常的中央静脉和脉管结构,但穿行于纤维疤痕内的血管丰富。
CT诊断要点:
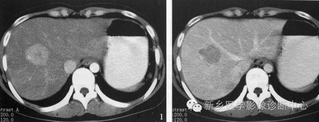
平扫:呈均质的等密度或轻度低密度肿块影, 少数呈等密度。
动脉期:明显均匀强化,呈高密度。14%~44%的肿瘤中心可见星状未强化的低密度纤维瘢痕组织。
门脉期:动态扫描有时可见离心性增强。中央疤痕门脉期均匀强化,呈高密度或低密度(中央疤痕强化延迟),延迟期呈高密度(因所含的粘液瘤样间质内对比剂洗脱延迟)。

FNH与腺瘤的鉴别:①动脉期强化较腺瘤强。②门静脉期较腺瘤更趋于等密度。③较腺瘤更具均质性。④FNH出血少见,而腺瘤出血常见。⑤腺瘤可出现脂肪变,而在FNH中罕见。
FNH与纤维板层肝细胞癌的鉴别:①中央疤痕在T2WI上,FNH呈高信号,而纤维板层肝细胞癌呈低信号。②FNH的中央疤痕可有延迟强化,而纤维板层肝细胞癌中不出现。③FNH的中央疤痕较小。纤维板层肝细胞癌的中央疤痕较大,更具分叶,更具不均质。④纤维板层肝细胞癌可见钙化,而FNH罕见。
6、胆管癌(末梢型)
胆管癌以50岁以上男性多见,可分为肝内型(即肝内胆管细胞癌)和肝外型(包括肝门部胆管癌及肝外远侧段胆管癌)。肝内胆管细胞癌富于纤维间质。根据其发生部位又可分为末梢型胆管细胞癌及肝门部胆管细胞癌。
末梢型胆管细胞癌大体病理与腺癌形态大致相同,与腺癌之肝转移癌很类似,不易鉴别。肿瘤边缘部存活癌细胞多而稍隆起,与肝组织之界线呈波状。肿瘤中心富于纤维组织而坚硬。
临床症状主要为:上腹痛及进行性梗阻性黄疸。末梢型胆管细胞癌早期多无症状,晚期可有上腹部不适,肝大等。
CT表现:平扫表现为边缘不规则的低密度占位性病变,密度比较均匀。
动脉期:肿瘤边缘呈轻度环状强化。
门静脉期:于肿瘤边缘显示为低密度环,而中心表现为高密度灶。并可见肿瘤末梢侧肝内胆管扩张的征象。
延时期:延迟后强化逐渐明显,呈持续性 。胆管细胞癌利于诊断的几点:病史(胆道多发结石、CA199增高);血供表现(周边强化、延迟强化);病变密度较低(CT值20-30HU);肝左叶呈轻度萎缩表现,边缘局部内陷。

7、转移瘤
肝脏是恶性肿瘤易发生转移的器官,为转移癌的好发部位之一。
肝转移的来源途径包括:1.血行性转移,经门脉及肝动脉转移。2.邻近脏器直接浸润。3.经腹膜种植。
转移瘤的病理标本:呈白色,与周围肝组织境界清楚,肿瘤中心多发生坏死,退变,而于表面形成中心性凹陷。
肝转移癌的CT表现因原发癌及病理组织类型不同而异。
平扫时:显示为多发性大小不等的低密度肿瘤结节,也可为单发结节。多在低密度内存在更低密度区域,从而显示为同心圆状或等高线状双重轮廓为其特征。
增强扫描:肿瘤境界清楚,边缘部分可增强而密度增高。1cm大小转移癌可出现类似环状增强的表现。
平滑肌肉瘤、软骨肉瘤、类癌、肾癌、胰岛素瘤、甲状腺癌等的肝转移癌血供丰富,动脉期及门脉期可见明显肿瘤增强征象。有时候与肝细胞癌难以鉴别,但其总体以环状增强为主要特征,再结合临床诊断很重要。

8、肝母细胞瘤
是原发于肝的一种高度恶性胚胎源性上皮组织的肿瘤,好发于3岁以下的婴儿和儿童,以1岁以下更多见。与乙型肝炎及肝硬变无关。特点是AFP明显升高。
患者可以腹部肿块,贫血、腹水等症状,并可出现黄疸。
病理特点:单个或多个瘤块结构,边界清晰,可有包膜。大体病理分为:块状型、多结节型、弥漫型。
CT特点:
(1)肿块单发或多发,多为圆形或类圆形,平扫呈低密度灶,边界清晰。
(2)钙化多见。
(3)增强扫描呈轻度到明显强化,密度可高于周围肝组织,亦可低于正常肝组织。延迟扫描病灶呈等密度或低密度。

9、血管肉瘤
血管肉瘤又称恶性血管内皮细胞瘤,是一种肝血窦壁细胞异常增生所形成的原发性恶性肿瘤,肉眼观肿瘤为灰棕色结节性肿块,可多放,肿瘤易发生出血。
发病年龄50~60岁,男性多见。本病可为先天性血管内皮恶变,也可为后天发生。有报告发现肿瘤与酒精性肝硬变及接触放射性物质有关。肝血管肉瘤预后差,早期常发生肺、骨转移。
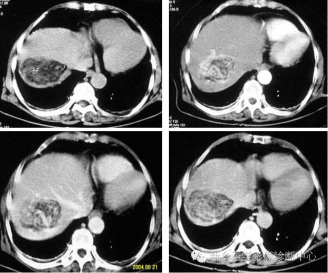
CT诊断要点:平时呈低密度肿块灶,境界多较清楚。增强扫描早期病变示边缘强化,随着时间的延伸,强化逐渐向中心扩张,仍为低密度。表现与海绵状血管瘤相似,但与之相比,肿瘤染色、增强更为显著,内部结构形态更为复杂,并可为多发性病变,弥漫性侵及全肝。且有恶性征象。

10、上皮样血管内皮瘤(EHE)
EHE发生于肝脏,较少见,典型的发病年龄为10-20岁,也见于成人,好发于女性。
病理表现为潜在恶性,病灶以多灶性,多中心性为主,且不会自行消亡。肿瘤由上皮样和树突细胞组成,中心有明显的纤维间质。病灶周边强化外围可见有低密度的晕环征。
CT特点:肝外围、靶样强化、包膜回缩。
肿瘤多位于肝脏的周边区域,肝脏包膜无膨隆。CT平扫为低密度影,病灶中心更低密度,约20%病灶可有钙化,增强后动脉期主要表现为周边强化为主,延迟后肿瘤实质内造影剂进入,而中央低密度区无强化。

EHE与肝母细胞瘤的鉴别
肝母细胞瘤为儿童最常见的肝脏恶性肿瘤,发病年龄1-5岁,罕见于新生儿。2.肝母细胞瘤血清AFP明显增高。3.肝母细胞瘤CT平扫呈低密度,增强动脉期多呈不均匀高的强化,门静脉期洗脱低密度,与EHE的向心性强化、延迟期持续强化或强化减弱而呈等密度者不同。
11、错构瘤
肝错构瘤是一种极罕见的先天性肝脏肿瘤样畸形。根据组成的组织多少,分为起源于内胚层和起源于中胚层两类;
起源于内胚层者又分为实质性错构瘤(以肝细胞增生为主体)和胆管错构瘤(以胆管和纤维胶原基质的增生为主体);起源于中胚层者又分为间质性错构瘤(以间质性组织的增生为主体)和血管性错构瘤(以血管和纤维组织的增生为主体)。
肿瘤常发生于肝包膜下,多为单发,偶为多发性。肿瘤质地坚硬似橡皮,表面凹凸不平呈结节状,切面呈棕灰色。显微镜下可见大量结缔组织呈中心性星状排列,肝细胞排列不规则,不形成肝小叶,胆管上皮及血管多数已纤维化。肿瘤与正常肝细胞间的界线较清楚,一般无真正的包膜,但可形成假膜。肿瘤内多有囊肿存在。
CT表现特点:为囊实性包块,邻近结构受压移位。动脉期增强扫描实性部分呈不均匀强化,囊性部分不强化,门脉期及延时期逐渐呈等密度 。肿瘤内有脂肪密度影为其特点。
本病多见于幼儿,男女之比为3:1,早期无任何症状,随肿瘤增大,上腹部可扪及坚硬的肿块,可随呼吸上下移动,通常无压痛。肿瘤压迫邻近脏器,可引起恶心、呕吐、便秘、腹胀等症状。本病的最佳治疗方案是手术切除,预后良好。

鉴别诊断:①肝癌:瘤灶内有脂肪变性时,分布弥散,界限不具体,常伴液化坏死和血管侵犯,而AML为成熟脂肪,常位于周边。肝癌80%合并肝硬化及AFP阳性。②局灶性结节增生(FNH):强化方式与AML相似,但AML中心CT强化常可见到供应血管,磁共振呈流空低信号影,而FNH中心为纤维斑痕,随延迟可逐渐强化或不强化。③肝脂肪瘤:完全由成熟的脂肪组织构成。病理切面为均匀黄色脂肪,成分单一,见不到血管影。④肝血管瘤:CT、MRI表现更加典型,表现为由周边到中心的“充填式”、“快进慢出”样强化,MRI在T2WI相上呈现“灯泡征”。
12、肝硬化再生结节
平扫多表现为高密度,增强扫描不同程度强化,延时扫描呈等密度。
小结节的RN 在螺旋CT 的平扫及动态增强扫描中常不能发现, 因为肝实质的密度都较均匀。少数大结节的RN 在增强扫描中可见, 表现为平衡期呈略低密度, 而更少数的较大的RN 在增强扫描的三期中均呈略低密度, 类似于少血供的HCC。
肝硬化结节的病理:肝细胞大量坏死,肝细胞肥大再生而形成肝硬化结节,同时伴有肝内广泛纤维化致肝小叶结构紊乱,从而导致肝脏收缩、体积缩小及肝脏表面高低不平。纤维化,结节再生,变性坏死和脂肪变性等病理改变致肝脏密度的高低不均。病理上分为3型,直径大于3cm的为大结节型,最大可达12cm,直径位于1~3cm为小结节型,二者混存为混合型;有研究表明,肝硬化再生结节以门脉供血为主,缺乏动脉供血。
肝硬化再生结节平扫一般为等密度或高密度;注射造影剂后动脉期强化不明显,在门脉期及延迟期肝硬化再生结节与肝实质密度趋向一致,这是诊断肝硬化结节的主要征象;肝硬化结节是发生在肝硬化基础上的良性增生结节,肝硬化,脾大,腹水,脾、门静脉迂曲也是诊断肝硬化再生结节的一个征象。肝脏的密度由平扫时的不均匀变为增强后的均匀,这都是诊断肝硬化结节的重要征象。
需与肝癌鉴别,肝癌平扫绝大多数呈低密度,少数呈等密度或高密度,肝癌瘤灶内的密度更低区有其多数性,多形性及多层面显示的特征;肿瘤边缘的“晕圈征”和CT平扫边缘不清而常规增强后缘变清楚且肿瘤随之变小及周围的“卫星”结节直径3~5cm时,其动脉期强化一般是不均匀的,极少数是均匀的;增强过程癌结节造影剂的充盈呈“快进快出”的表现。值得注意的是肝癌与肝硬化结节共存时,容易漏诊。
13、肝紫癜症(HP)
肝紫癜(peliosis hepatis)是一种较少见的肝脏良性病变,表现为肝脏多发的大小不等的充满血液的囊腔。本病可见于任何年龄,但成人多见。
病理表现为:囊样扩大的肝窦状隙和与之相交通且充有血液的腔隙,伴有支持肝细胞和肝窦的网状纤维破裂为特征。腔隙大小不等,小者1mm,大者可达3cm,
HP的病因不明,可能与恶性疾病,慢性感染。药物等有关。
CT表现:病灶多发,大小自1mm至数厘米不等。平扫呈低密度,增强扫描:强化模式多样,自周围向中央扩展或中央强化后离心扩展,持续至延迟期。
诊断特征:无肿块效应,病灶多样性,自中央或周围扩展进行性强化模式及强化延长。

HP与FNH鉴别要点
FNH的典型CT和MRI非持续强化模式:动脉期为均匀性强化,门脉期和延迟期病灶常为等密度。与HP鉴别常无困难。
FNH的病灶中常有中央疤痕,其强化模式为:增强动脉期呈相对低密度,门脉期密度或信号仍偏低,延迟期疤痕则可出现强化表现,HP则无中央疤痕。3。动态增强时,HP病灶内有时可因存在血栓而不强化。4。FNH如不鲜花典型的强化模式和中央疤痕时,则鉴别困难。
HP与血管瘤鉴别要点:1.HP缺乏肿瘤效应。2.HP有周围性强化,且呈持续性强化,实质期和静脉期强化更慢性。3. 血管瘤呈向心性强化的病灶常较大,有明显占位效应。4.血管瘤增强早期常呈周边结节样强化,且为非持续性。
HP与富血供的转移瘤鉴别要点:1.肝转移性肿瘤一般为非持续性强化(动脉期强化,门静脉期和延迟期强化消退)。2.含纤维成分较多的富血管肝转移性肿瘤,亦可见门静脉期和延迟期仍强化。3.结合临床病史和临床症状易做出鉴别。
14、肝炎性假瘤
病因:肝脏炎性假瘤少见,发病情况不详,肿瘤都以纤维结缔组织增生伴大量炎性细胞浸润而形成的结节状病变。目前认为与自身免疫性疾病、硬化性胆管炎、溃疡性结肠炎等有关.
基本病理特征是:炎性增生肿块主要由纤维基质和浆细胞为主的各种慢性炎性细胞浸润所构成的局灶性病变,多呈圆形或椭圆形直径1~25cm 。
CT平扫均为低密度占位,增强后动脉像基本不出现强化,中晚期边缘和中间部出现局灶性充填,这点和肝癌有明显区别,因为肝癌血供来自肝动脉。而肝胆管细胞癌其强化后改变基本和肝炎性假瘤相同,均在门静脉期出现边缘强化和瘤体中间局灶性强化。

15、肝脏结核
肝结核主要是由全身粟粒性结核循肝动脉血流入肝和消化道结核杆菌经门静脉入肝造成感染。只有当机体免疫力极度低下,大量结核杆菌侵入肝脏时才致病。近年来,HIV感染者肝结核发病率明显增加,提示细胞免疫与肝结核关系密切。
肝结核的基本病理变化为肉芽肿,在不同的病变阶段可表现为不同的形式,包括干酪样坏死、液化坏死、纤维组织增生及钙化等。同时并存的肉芽肿可以融合形成较大的形状不规则的纤维囊性包裹的干酪样脓肿。
肝结核主要是由全身粟粒性结核循肝动脉血流入肝和消化道结核杆菌经门静脉入肝造成感染。只有当机体免疫力极度低下,大量结核杆菌侵入肝脏时才致病。近年来,HIV感染者肝结核发病率明显增加,提示细胞免疫与肝结核关系密切。
肝结核的基本病理变化为肉芽肿,在不同的病变阶段可表现为不同的形式,包括干酪样坏死、液化坏死、纤维组织增生及钙化等。同时并存的肉芽肿可以融合形成较大的形状不规则的纤维囊性包裹的干酪样脓肿。

需与肝结核鉴别的疾病
①肝脓肿:单发或多发圆形或不规则形低密度区,单房或多房,部分病灶内见气体影,增强扫描呈单环或多环状强化,具有特征性;
②肝转移瘤::肝实质内见多发圆形类圆形低密度区,有时病灶呈囊性或病灶内出现钙化,增强扫描,病灶边缘不规则强化,门静脉期病灶均匀或不均匀强化,但低于正常肝实质;
③胆管细胞癌:CT 平扫为低密度灶,部分病灶内有不规则的高密度钙化灶,其特点是钙化位于病灶内,数目多而小,密度高形态不规则;增强后病灶不均匀强化,但增强程度低于正常肝实质;
④纤维板层样肝细胞癌:CT 平扫为边缘清晰的低密度区,可显示内部条索状结构和坏死区,病灶内出现钙化为其特点,钙化呈点状或小圆形,密度较高且位于病灶内,病灶周围可出现小的卫星灶,形成一个多结节的病灶。
16、肝脓肿
肝脓肿可由溶组织阿米巴原虫或细菌感染所引起。阿米巴肝脓肿的发病与阿米巴结肠炎有密切关系,且脓肿大多数为单发;细菌性肝脓肿的细菌侵入途径除败血症外,可由腹腔内感染直接蔓延所引起,亦可因脐部感染经脐血管,门静脉而入肝脏,胆道蛔虫亦可为引起细菌性肝脓肿的诱因。常见的细菌有金黄色葡萄球菌,链球菌等。此外,在开放性肝埙伤时,细菌可随致伤异物或从创口直接侵入引起肝脓肿;
肝脓肿的病理改变为肝组织局部充血、水肿、蜂窝织炎,继而坏死、液化形成脓腔。脓肿壁由炎症充血带或纤维肉芽组织形成。
临床主要表现为发烧和肝区疼痛。实验室检查一般可伴有白细胞增高。
肝脓肿的典型CT 表现为:
a)肝内低密度占位,边缘多模糊,内可见分隔及气体;
b)增强后低密度病灶周边可见环形强化,可以是单环、双环和三环。单环为脓肿壁,双环代表脓肿壁(内环)和周围水肿带(外环),三环则表示除外环水肿带外,脓肿壁有内外两层构成,外层(中环)一般为纤维肉芽组织,强化最明显,内层(内环)由炎症组织构成;
c)增强后脓肿内分隔强化,呈“簇状征”:是指肝内呈蜂窝状的小低密度脓肿;
d)“肝段强化”征:是指动态增强扫描动脉期脓肿旁的一过性强化。
e)胆源性肝脓肿的特征性改变为:脓肿与扩张的胆管相通或紧邻、胆系积气、胆系结石。

肝脓肿的鉴别诊断
1.原发性肝癌及肝转移瘤:肝脓肿与原发性肝癌平扫同为低密度的病灶,增强扫描有助于鉴别诊断。原发性肝癌在动脉期出现明显强化,但是持续时间短,呈现“快进快出”的特点,一般不会出现持续强化及病灶缩小。少数肝转移瘤可表现全部或部分囊变,增强后呈环形强化,与肝脓肿相似,但肝转移瘤出现一过性肝实质强化的概率明显低于肝脓肿,具有“族形征”“病灶缩小征”。
2.肝血管瘤:肝血管瘤在增强早期有边缘不规则强化,周围肝组织正常,不会出现明显强化,增强区域逐渐向中心延伸,最后完全充填均匀,强化过程呈“快进慢出”特点。而无网格状及蜂窝状持续强化的特点。
3.胆管细胞癌:纤维肉芽肿性肝脓肿和胆管细胞癌的CT表现有所重叠。胆管细胞癌的强化主要表现为轻度不规则强化, 以边缘为主, 而且常伴有临近肝内胆管的扩张。纤维肉芽肿性肝脓肿表现为逐渐明显的延迟强化和内部细小的无强化区, 再结合临床表现两者多能鉴别。

来源:新乡医学影像