脑干海绵状血管瘤诊疗案例:从ICU到游乐场
创始人
2026-02-14 09:53:42
0

病情发展与诊断过程

"孩子确诊脑干海绵状血管瘤当天,我感到天塌地陷。2020年初秋的那个下午,医生将CT片递到我手中的场景至今记忆犹新——窗外阳光明媚,我却浑身发冷,双手控制不住地颤抖,手中的影像片沉重如石,压得我呼吸困难。片子上那个微小阴影,伴随着医生字字诛心的话:'这是脑干海绵状血管瘤,正处于活动性出血期……'"

阳阳曾是小区里知名的"高活力男孩",能连续奔跑半小时不知疲倦,笑声清脆悦耳。病情变化来得突然且毫无预兆。

初期症状表现为偶发头痛和呕吐,家长误认为是普通感冒。随后半个月内,家属目睹孩子身体功能快速衰退:行走出现摇晃需扶墙支撑,言语逐渐含糊无法完整唱儿歌,右侧面部肌肉控制力日渐丧失,笑容仅剩左侧面部能扬起。

"孩子到底得了什么病?"这个疑问日夜折磨着年轻父母。他们带着孩子辗转多家医疗机构,最终通过增强核磁共振检查获得明确诊断:脑干海绵状血管瘤,已破裂出血,需立即送入ICU监护治疗。

脑干海绵状血管瘤并非传统意义上的肿瘤,而是一种脑血管畸形病变。该病变位于脑干这一全身最重要的神经枢纽区,形态似海绵状血管簇。平时可能无明显症状,一旦出血,血肿会压迫周围密集的神经核团和传导束,导致运动功能、面部表情、吞咽言语等基本生理功能迅速受损。

治疗决策与手术评估

"脑干手术难度极大,"医生指着影像上的阴影解释,"病变位置特殊,周围布满控制肢体、语言、呼吸的神经组织,稍有不慎可能导致患儿瘫痪,甚至无法苏醒。"

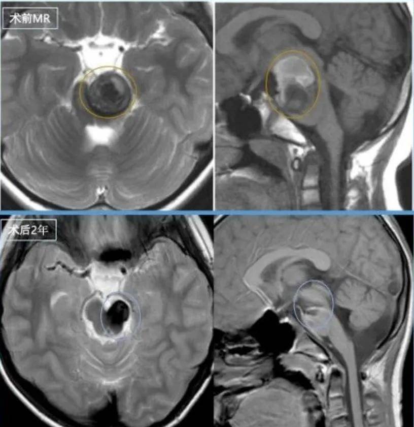
术前情况脑干脑桥偏左侧占位,锥体束受压迫,见含铁血黄素环。

脑干内部空间极为有限,仅手指粗细,薄如纸片,神经血管纵横交错。虽然脑干海绵状血管瘤不属于恶性肿瘤,但危险性极高。文献统计数据显示,脑干出血量达5-10毫升时,死亡率超过75%;出血量超过10毫升时,死亡率可达100%。

当晚,年轻夫妇翻看手机里阳阳往日视频:在幼儿园唱歌、追球,笑容灿烂。"不能放弃希望,"孩子父亲坚定表示,"我们再找其他医生,国内不行就联系国外专家,一定能找到救治阳阳的方法。"

通过查阅医学文献和联系专家,家属最终找到专注脑干手术30余年的德国巴特朗菲教授。该教授累计完成脑干手术800例,其中脑干海绵状血管瘤手术超过300例。当巴特朗菲教授确认可实施手术并有把握全切病变时,阳阳父母激动难抑。

脑干海绵状血管瘤的根本治疗方案为手术全切。反复出血是导致患者残疾和死亡的主因,部分切除病例再出血风险较高,可能引发灾难性神经功能缺损。安全全切手术是防止再出血和实现治愈的根本途径。

手术实施与康复过程

手术当日,巴特朗菲教授采用半坐位手术入路——利用重力减少脑干静脉压力,创造更清晰手术视野。在术中神经电生理监测全程护航下,监测屏幕波形实时反馈神经功能状态。教授精准避开所有关键结构,完整切除血管瘤。

术后当晚,复苏室内阳阳睁开双眼,清晰喊出"妈妈"。术后48小时转出ICU,他用左手捏住父亲纽扣——这一细微主动动作预示运动功能开始恢复。术后第3天,可自主用筷子夹取食物,宣布"我打败怪兽了!"术后第5天,在搀扶下重新迈步。术后3个月,面部瘫痪基本缓解,可小跑追球。

术后三年复查显示无复发

目前术后三年复查显示无复发。额部淡淡疤痕成为男孩勇敢的勋章,他恢复了往日活泼爱笑的性格,但这段经历为他的笑容增添了超越年龄的坚毅。

相关内容

热门资讯

跑步减肚子有门道:科学训练计划... 在追求健康身材的过程中,减肚子是许多人关注的焦点。肚子上的赘肉不仅影响美观,还可能增加健康隐患。跑步...
潢川县比较好的高中有哪些 潢川县位于河南省东南部,当地教育资源丰富,拥有不少优质的高中。这些学校在教学质量、师资力量、校园文化...
瘦了36斤才明白:减肥不是盲目... 体重从145斤减到109斤,瘦了36斤才明白:减肥不是盲目节食,而是养成这6个生活化减脂行为,可以创...
原创 这... 在繁忙的都市生活中,我们常常忽视了对肝脏的呵护。肝脏,这个默默无闻的“化工厂”,承担着排毒、代谢、合...
原创 手... 大家好,我是小俊,今天给大家分享一下,如何把手机导航投屏到挡风玻璃,学会之后,可以说非常实用,具体如...
2026年2月北京旅行社综合实... 2026年2月北京旅行社综合实力排行榜:十大靠谱选择助您避坑省心出游 摘要 为帮助广大游客在北京旅游...
这场特殊的“赏花之旅” 让他们... 2月13日,广州天河体育中心迎春花市首日开放就迎来一场特殊的“赏花之旅”。由广州图书馆、突破46读书...
花灯点亮泉城夜 起步区鹊山生态... 央广网济南2月14日消息(记者刘佳音 实习记者闫紫璇 任茹伊)夜幕降临,灯火渐次亮起,黄河之畔流光溢...
早安,哈尔滨 冰城家书 @早安的明信片 冰城家书 | 早安,哈尔滨 昨天,我们在微博上读到一段文字。 一位带着女...
惊艳!2万株梅花次第开 杭州西... 2月13日,西溪湿地水边白梅盛开。中新社记者 王刚 摄 近日,浙江杭州西溪湿地2万余株梅花次第盛开...