原创 过期牛奶竟成隐形杀手?30岁男子暴瘦53斤的医学真相
创始人
2026-02-25 14:30:29
0

2月24日,上海一名30岁男子因误食过期牛奶导致结肠动力丧失,7个月内体重从140斤暴跌至87斤。体重秤上消失的53斤并非减肥成果,而是一盒过期牛奶引发的健康灾难。上海市第十人民医院结直肠病专科主任陈启仪接诊的这个特殊病例,为所有人敲响了食品安全警钟——那些被忽视的过期食品,可能正在摧毁你的肠道神经系统。

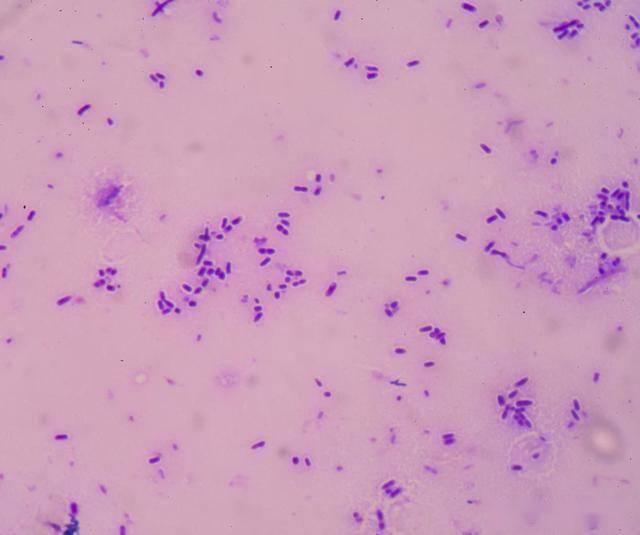
过期牛奶中的细菌战争

这盒引发灾难的牛奶中,藏着肉眼看不见的致命杀手。沙门氏菌、大肠杆菌等致病菌在过期乳制品中呈几何级数繁殖,其产生的内毒素会直接攻击肠道神经节。医学影像显示,患者的结肠壁出现特征性水肿,原本规律的蠕动波完全消失,就像被按了暂停键的传送带。这些细菌毒素不仅破坏肠黏膜屏障,更会永久性损伤肠道自主神经,导致结肠动力丧失这种罕见并发症。

从腹胀到肠梗阻的恶性循环

患者最初出现的腹胀、腹痛症状,实则是肠道发出的SOS信号。当致病菌破坏肠神经系统后,肠道肌肉无法协调收缩,食物残渣在结肠内堆积发酵,产生大量气体。持续便秘超过72小时就会形成恶性循环:淤积的粪便进一步压迫肠壁血管,造成局部缺血,而缺血又加重神经损伤。CT对比影像显示,正常人的结肠呈现节段性收缩,而患者的肠道如同瘫痪的管道,充满扩张的气液平面。

营养断供与代谢危机

肠道瘫痪最可怕的后果是营养吸收系统崩溃。当食物无法被有效消化吸收时,人体会启动分解代谢模式:先消耗肝糖原,再分解肌肉蛋白,最后连脂肪储备都被透支。患者体重暴跌至87斤时,血液检测显示其白蛋白水平仅为正常值的1/3,这种程度的营养不良会继发免疫力下降、伤口不愈等多系统问题。医学上称之为"病理性消瘦",与健康减脂存在本质区别。

食品安全的三个关键时点

上海市第十人民医院的临床数据表明,牛奶在过期48小时后菌落总数会暴增300倍。专家建议牢记三个时点:保质期前3天需煮沸饮用,过期24小时内仅限高温烹饪使用,超过24小时必须丢弃。特别要注意的是,冰箱冷藏只能延缓变质速度,无法杀死已产生的细菌毒素。

当出现持续48小时以上的腹胀伴便秘,或短期内体重下降超过10%,务必立即就医。肠道神经损伤存在72小时黄金干预期,错过可能造成不可逆后果。这个用53斤体重换来的教训提醒我们:食品安全无小事,那些被忽视的过期食品,可能就是摧毁健康的隐形杀手。

相关内容

热门资讯

青岛故事|9天揽客超12万人次... 前一段时间,平度九里夼冰瀑火出圈。春节9天假期,来自全国各地的超过12万人次来到这个景点打卡。不少东...
真吃不动了!园区回应300多只... 春节假期,哈尔滨文旅市场持续火热,东北虎林园迎来大批游客,买肉喂老虎的游客也很多。为了面对近期高频投...
签证官常问的十大热点问题 准备签证面谈时,很多人最焦虑的不是材料,而是“签证官会问我什么?”站在申请人的角度,提前了解高频问题...
(新春走基层)从日间游园到夜间... 中新网长治2月25日电 (杨佩佩 史荣荣)春节期间,山西长治襄垣以“过大年到襄垣·在太行山上过大年”...
全市揽客超338万人次、吸金3... /大湾区经济网珠海频道获悉/ 2026年春节九天假期,珠海文旅市场热度持续攀升。全市接待游客338....
南宁青秀山春日花海盛放 逾12... 中新网南宁2月25日电(张广权)2026年青秀山“瓦来来”赏花季——山水郁金香观赏文化活动目前正在广...
英国签证办理一次下签指南:20... 是不是已经按捺不住想要冲出家门看世界的心了?尤其是想去大英博物馆打卡,或者去伦敦眼许个愿?不过别急,...
女子称提前5个月在Bookin... 2月19日,带家人前往美国洛杉矶旅行的李女士告诉红星新闻,2025年9月,她在Booking上看中了...
原创 春... 2026年春节长假落幕,全球出境游市场交出一份格外清晰的答卷,中国游客的脚步遍布首尔、曼谷、新加坡与...
确诊卵巢癌,化疗过敏险丧命!如... “我现在早上买菜、中午做饭、晚上等孩子们下班,邻居见了都问我,你咋天天这么有精神?” 说这话的是河南...