随着全球人口老龄化加剧, 阿尔茨海默病(AD)已成为威胁老年人健康的“沉默杀手”。AD会使患者记忆、认知功能逐渐衰退,进而严重影响生活质量。已有的临床分析数据显示, 坚持规律运动能够延缓认知衰退,甚至帮助改善AD患者的疾病症状。长期以来,研究人员认为,运动主要通过增加脑部血流量或促进神经生长因子的释放,以此促进大脑的健康。
最近,一项发表于《自然-衰老》的研究提出了运动改善AD认知功能的新机制。研究团队发现骨骼肌不仅支持运动功能,还能成为内分泌的关键部位。它产生的特殊因子能通过血液循环进入大脑并激活 小胶质细胞,助力大脑废物和毒性蛋白的清除。

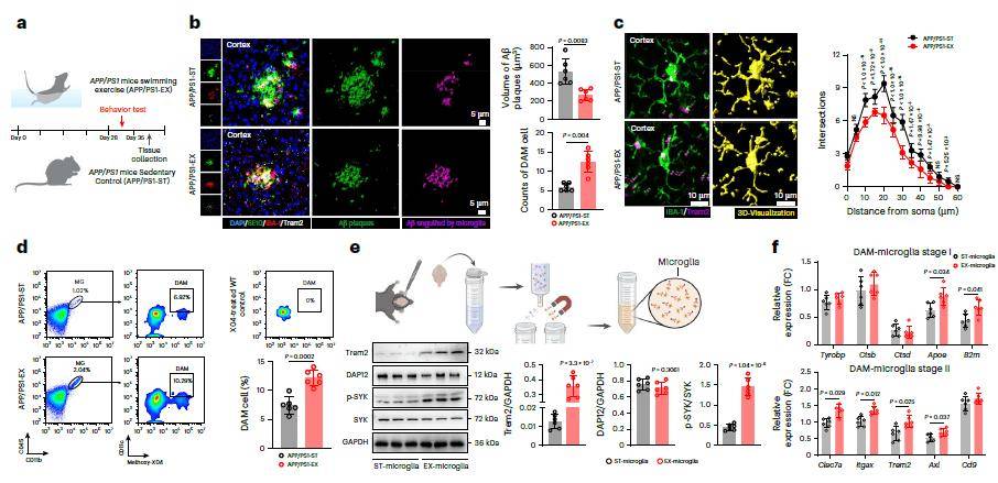
在大脑中,小胶质细胞约占脑细胞总数的10-15%。它们是一类具有“清洁”能力的免疫细胞,主要负责清除代谢废物、修剪突触,维持神经网络的正常功能。然而,在AD患者中,情况发生了剧变。随着 β-淀粉样蛋白(Aβ)的异常沉积,一部分小胶质细胞被过度激活,释放大量炎症因子,加剧神经损伤;另一部分则陷入“疲惫”状态,失去清除能力。
为了确认运动是否对小胶质细胞有影响,研究者培育了一批AD小鼠,并让它们参与了适量的游泳训练。结果显示,仅仅4周的运动就能显著改善AD小鼠的认知功能,大脑中的Aβ斑块也有所减少。
他们利用免疫荧光染色技术,观察到运动后小鼠大脑中一个显著变化:围绕在Aβ斑块周围的小胶质细胞数量明显增多。这些细胞不再是静息状态,而是细胞体变大、突起变短,这是它们被激活、准备“战斗”的典型形态。

图片来源:123RF
运动组小鼠的小胶质细胞不仅包围了斑块,更主动吞噬了淀粉样蛋白。在细胞内部,研究者清晰地观察到了被包裹的Aβ碎片。分析显示,运动组小鼠小胶质细胞吞噬的斑块体积比静息对照组增加了近一倍。
研究者发现,与小胶质细胞行为一样产生明显变化的是骨骼肌 细胞外囊泡的分泌过程。借助绿色荧光标记、追踪,他们发现小鼠运动后,这些细胞外囊泡不仅出现在肌肉中,更穿越了血脑屏障,成功抵达大脑皮层和海马体,并最终被小胶质细胞吸收。

▲肌肉分泌的因子能最终进入小胶质细胞(图片来源:参考资料[1])
研究团队从这些囊泡中筛选出了运动后显著升高的分子。其中,一种名为miR-378a-3p的微小RNA引起了特别关注——它在运动后的肌肉和囊泡中均显著增加,且高度富集于骨骼肌。进一步实验证实,如果将miR-378a-3p直接注入阿尔茨海默病小鼠的海马体,就能显著改善认知功能,激活小胶质细胞的活性。而如果敲除肌肉细胞中的这个分子,运动带来的认知保护效应也随之消失。这表明,miR-378a-3p正是运动改善认知的关键信号分子。
从机制上来说,miR-378a-3p能够调控小胶质细胞能量代谢相关基因,使其更高效地利用脂质产生能量,从而有力气去吞噬和清除毒性蛋白斑块。
研究指出,未来如果能研发出基于miR-378a-3p或肌肉细胞外囊泡的药物,就能直接模拟运动的好处,帮助AD患者减轻症状、延缓认知功能衰退。
参考资料: