来源:滚动播报
(来源:上观新闻)

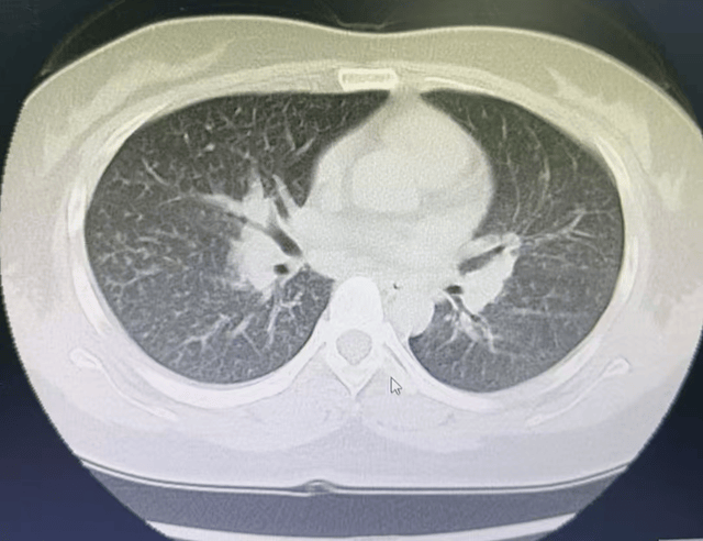
近日,江苏淮安一名35岁二胎宝妈,每日频繁使用84消毒液消毒,约一个月后,她患上十万分之一的急性嗜酸性粒细胞肺炎。
患者张女士士平日里是个不折不扣的“卫生劳模”,对居家环境要求极高。不久前,刚成为二孩妈妈的她,为了宝宝的健康着想,开始频繁使用84消毒液拖地、擦拭家具。
约一个月前张女士逐渐出现胸闷气喘、呼吸困难等症状。医生诊断其患上了“急性嗜酸性粒细胞肺炎”这种罕见病。
江苏省淮安市第二人民医院呼吸与危重症医学科副主任医师何远强介绍:84消毒液主要成分是次氯酸钠,具有强氧化性和腐蚀性 ,84消毒液挥发的氯气被吸入呼吸道后,会与气道粘膜水分生成次氯酸钠和盐酸,刺激呼吸道的粘膜,引起患者咳嗽气喘呼吸困难等症状。长期暴露可能导致化学性支气管炎,急性嗜酸性粒细胞肺炎,甚至肺水肿间质性肺炎,呼吸衰竭等严重并发症。

图片来源:淮安市第二人民医院
经过对症治疗,张女士目前恢复情况良好。

图片来源:淮安市第二人民医院
医生也提醒广大市民,居家清洁务必科学适度,切莫让消毒水变成隐形的“健康杀手”。家庭环境无需追求“无菌”,日常清洁应以湿式打扫为主,开窗通风是最有效、最安全的空气净化方式。
84消毒液错误用法
未做充分稀释
很多人以为消毒液浓度越高,消毒效果越好,其实不然。超过推荐浓度使用,消毒效果并不会加倍,反而会因残留过多增加健康风险。
密闭空间消毒
使用84消毒液的过程中应注意通风换气。若完成消毒不开窗,氯气闷在屋里,会导致室内浓度过高,危害人体健康。
高频次全屋消杀
正常家庭没有必要“过度消毒”,频繁消毒反而会导致中毒、过敏风险增加。对于感冒病人物品,或需对宠物便便、快递外包装等进行消毒,选择局部消杀即可,不用全屋大面积喷洒。
与其他产品混用
不少人认为清洁剂各有不同功效,混合使用效果会更好,这其实是一种误解,清洁剂混用有时可能产生有毒气体。
84消毒液和洁厕灵混用会产生剧毒氯气,轻则中毒头晕,重则危及生命;
84消毒液和洗衣液混合会发生中和反应,降低清洁效果,甚至产生有毒物质;
84消毒液与酒精混合也会产生氯气,同时还会产生三氯甲烷等有毒物质。
徒手操作
84消毒液对呼吸道黏膜和皮肤均有刺激性,使用时应佩戴口罩、橡胶手套。不慎入眼时,要立即用清水冲洗并及时就医。
如何正确使用84消毒液?
84消毒液有效氯含量一般为1.1%-1.3%,适用于一般物体表面的消毒,应使用冷水稀释后才可以使用(不同品牌84消毒液有效氯含量不同,具体稀释倍数以产品说明为准)。

环境消毒
对卫生间的地面、下水管道等环境消毒时,原液按照1:30的比例兑水,浸泡20分钟,再用抹布、拖把擦洗。
餐具消毒
用原液按照1:10的比例兑水,将需要消毒的器具置于稀释好的液体中浸泡20分钟,再用清水冲洗干净。
用后注意事项
对物品表面和地面消毒后,建议用清水和抹布再次清洁1-2遍;
对餐具、瓜果蔬菜消毒后,一定要用清水反复冲洗干净,因为残留的消毒液会对人体产生危害;
84消毒液使用完毕后应置于阴凉干燥处密封保存,不得与易燃物接触,应远离火源。
医生提醒,频繁接触消毒剂、新装修环境或粉尘后,若出现不明原因顽固性咳嗽、进行性加重的呼吸困难,且常规抗感染治疗无效,应及时到正规医院呼吸科就诊,必要时行支气管镜检查以明确病因。
综合淮安市第二人民医院、都市现场、国家应急广播、央视新闻等
原标题:《35岁宝妈患上罕见肺炎!竟是因频繁用它拖地、擦拭家具,很多人家里都有!》
来源:作者:新民晚报 倪彦弘 魏丽英 整合
上一篇:原创 你以为是在养生?其实是在养癌!这5个坏习惯,第一个你就中招了
下一篇:没有了