在首都医科大学附属北京胸科医院肿瘤科的诊室里,40岁的吴先生正拿着最新的复查CT片,脸上带着轻松的笑容。一年前,这位被确诊为晚期肺腺癌的中年男子,在外院经历了三轮化疗后仍看不到明确的治疗方向,而如今,口服靶向药的他已经回归了正常的工作和家庭生活。这一巨大转变的背后,是北京胸科医院肿瘤团队对精准医学的执着探索,以及对罕见基因突变的不懈追寻。
诊疗困境:
晚期肺癌辗转求医
常规治疗疗效有限
2024年底,吴先生因持续咳嗽就诊于当地医院,胸部CT提示左肺下叶占位伴左侧胸腔积液,随后的肺穿刺活检确诊为中-低分化肺腺癌,进一步全身评估显示肿瘤已经出现纵隔淋巴结、双侧锁骨上淋巴结、左侧胸膜及双肺多发转移,临床分期为IVa期,属于晚期肺癌。在外院的初始治疗中,医疗团队先后给予了三次培美曲塞联合顺铂化疗,其中第二次化疗联合了贝伐珠单抗抗血管生成治疗,两次复查后疗效评估为疾病稳定(SD),但化疗带来的恶心、乏力、肝功能损害等不良反应让患者苦不堪言,更为棘手的是,常规基因检测未发现常见的驱动基因突变,这意味着他无法用上当时已经广泛应用的靶向治疗药物。
“当时患者和家属几乎陷入了绝望,他们辗转多家医院得到的答复都是只能继续化疗,但患者的身体状况已经难以耐受更多的化疗副反应。”接诊的肿瘤中心医生李杰回忆道,“这么年轻、不吸烟的肺腺癌患者,很可能还有未被发现的治疗靶点,值得我们进一步做病理检测和基因检测。”
精准破局:
深度测序发现
全球罕见ALK融合突变
2025年3月,吴先生转诊至我院肿瘤中心后,治疗团队并未沿用既往的治疗方案,而是先对患者的病理标本进行了重新会诊,并采用下一代测序技术(NGS)进行了全面的基因检测。这一次的检测结果给所有人带来了惊喜:患者存在DCTN1-ALK.D26A20融合突变,这一特殊的ALK融合亚型在PubMed等国际文献数据库中尚无相关病例报道,属于罕见ALK突变类型。
病例关键信息:
• 患者:男性,40岁,晚期肺腺癌(cT1bN3M1b IVa期)
• 既往治疗:3次培美曲塞+顺铂化疗,1次联合贝伐珠单抗
• 基因检测:DCTN1-ALK.D26A20融合突变
• 治疗方案:阿来替尼600mg 每日两次口服
• 近期疗效:治疗1个月后病灶显著缩小,疗效评估PR(部分缓解)
• 随访情况:截至2026年3月,持续PR已达12个月,生活质量良好
这一发现不仅为患者找到了全新的治疗方向,也填补了ALK罕见突变谱的空白。治疗团队经过充分的文献调研和多学科讨论后,决定给予患者ALK抑制剂阿来替尼靶向治疗。仅仅一个月后,复查胸部CT显示左肺上叶病灶较前明显缩小,疗效评估达到部分缓解(PR),患者的咳嗽、胸闷等症状完全消失,也摆脱了化疗带来的严重不良反应。

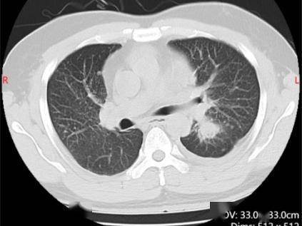
靶向治疗前左肺下叶肿块25mm

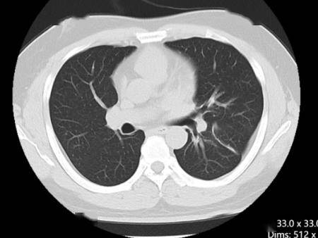
靶向治疗后左肺下叶肿块5mm
生命奇迹:
精准治疗实现1年持续缓解
回归正常生活
截至2026年3月,吴先生已经接受阿来替尼治疗满12个月,多次复查均显示肿瘤持续维持部分缓解状态,未出现疾病进展,也未发生严重的药物不良反应。如今的他已经重新回到了工作岗位,生活质量与患病前几乎没有差异。
这个病例的成功,完美诠释了精准医学在肺癌诊疗中的核心价值。对于晚期肺癌患者,尤其是常规基因检测阴性的患者,我们永远不要放弃寻找潜在治疗靶点的努力。随着基因检测技术的不断进步,越来越多的罕见突变被发现,这意味着更多曾经无药可用的患者,如今都有机会获得精准治疗的机会。”
此次罕见ALK融合突变的发现和成功治疗,不仅为该患者带来了长期生存的希望,也为全球肺癌精准诊疗领域提供了宝贵的病例经验。未来,北京胸科医院肿瘤中心团队将继续秉持“以患者为中心”的诊疗理念,深耕肺癌精准诊断与个体化治疗领域,不断探索罕见突变的诊疗策略,为更多晚期肺癌患者点亮生命的希望之光。
稿件提供 | 肿瘤中心 钱哲
图片提供 | 肿瘤中心
页面编辑 | 宣传处