前列腺癌是全球男性第二大高发癌症,2022年新增140万例,预计2025年超150万。传统转移性前列腺癌治疗以缓解症状为主而非实现完全缓解。现代诊断与放疗技术的进步以及对肿瘤微环境等的认识,推动了治疗变革。寡转移性疾病概念使靶向放疗 (MDRT) 能延长生存、改善生活质量。多项临床试验显示放疗有高局部控制率和低毒性。本研究探索了一种包含激素治疗、化疗以及针对原发肿瘤和转移病灶的靶向放疗的综合治疗方案,实现了完全缓解。这表明放射疗法应成为转移性前列腺癌综合治疗策略的重要部分,有望改善晚期患者治疗效果。
1. 研究方法
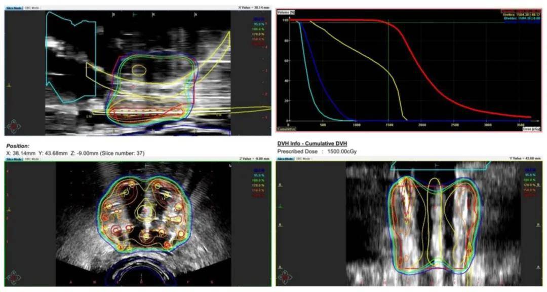
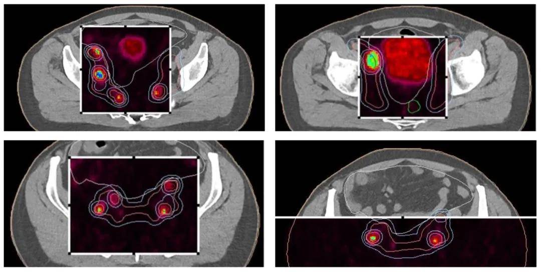
本研究提出一种针对广泛转移性前列腺癌的综合治疗方案。一名57岁男性患者因PSA水平升高入院 (图1),经全面评估后,先接受比卡鲁胺治疗,并通过PET/PSMA等影像学检查明确癌症分布。随后,患者接受雄激素剥夺疗法及多西他赛化疗。因疾病仍有活动迹象,故采用放疗巩固,包括针对前列腺和转移淋巴结的远程放疗 (图2) 及前列腺的高剂量率近距离放疗 (图3)。



2. 研究结果
患者初始PSA高达280 ng/mL,前列腺活检确诊为腺癌,Gleason评分7,WHO分级3。CT显示广泛盆腔淋巴结转移,PET/PSMA影像 (图4) 揭示前列腺及淋巴结高代谢活性。患者被诊断为cT2N1M1a期前列腺癌。经多西他赛化疗,PSA水平有所下降,但CT仍示广泛转移。随后进行放疗,PET-CT (图5) 显示前列腺及淋巴结仍具活性。放疗后,患者PSA降至检测限下,实现完全生化缓解,此疗效经随访影像及临床评估确认。


3. 讨论
本病例报告了一例广泛转移性前列腺癌患者,通过多模式治疗实现显著临床反应的过程。患者初诊时PSA水平高,Gleason评分7,提示肿瘤分级高且转移负荷大。经CT、骨显像和PET/PSMA影像诊断,确认存在广泛淋巴结转移,但无骨转移。尽管患者先后接受比卡鲁胺、亮丙瑞林及多西他赛化疗,疾病仍表现出活性。因此,采用转移导向放疗 (MDRT) 作为巩固治疗,包括外照射放疗和高剂量率近距离放疗,针对原发肿瘤和转移淋巴结,实现最大局部控制。放疗后,患者PSA水平降至检测限以下,表明完全生化缓解,挑战了传统寡转移疾病的界限。此外,病例强调了生物标志物如IL-1在优化放疗效果中的重要性,以及多模式治疗的价值。未来研究需进一步验证这些发现,并探索更广泛人群的适用性。
4. 结论
本病例展示了放疗在广泛转移性前列腺癌中的显著临床获益,即使患者转移负荷高,放疗仍能实现完全生化缓解,凸显其重要性。影像技术进步提高了转移病灶的检测准确性,使得放疗能精确靶向,个体化治疗成为可能。SBRT在靶向小范围转移病灶方面具有优势,并可能增强免疫治疗疗效。同时,细胞因子在调节放疗反应中的作用逐渐受到关注。然而,放疗的益处需与治疗相关风险相权衡,强调精确靶向和个体化治疗计划的重要性。多方向治疗策略结合激素治疗、化疗和放疗,能更有效地靶向癌症,延长疾病进展时间,改善患者生存结局。未来研究需继续探索放疗与系统治疗的最佳整合,验证其广泛适用性,推动转移性前列腺癌治疗的进步。
原文出自 Cancers 期刊
Kwiatkowski, R.; Kłeczek, A.M.; Gabor, J.; Brzezińska, N.; Swinarew, A.S. The Role and Potential of Modern Radiotherapy in the Treatment of Metastatic Prostate Cancer. Cancers 2025, 17, 1045. https://doi.org/10.3390/cancers17061045
期刊主题涵盖癌症治疗和免疫疗法、癌症生物标志物、流行病学和预防、肿瘤微环境、癌症病因和筛查、诊断和护理、癌症分子生物学等肿瘤学领域各个方面。目前,期刊已被SCIE、Scopus、PubMed等重要数据库收录。