
病例回顾
患者,男,65 岁。因间断性无痛性肉眼血尿 2 年余入院。患者 2 年前无明显诱因出现肉眼血尿,呈洗肉水样,伴腰部疼痛,无其他不适,当时诊断考虑为左肾肿瘤。
患者未进行手术治疗,行中医治疗,2 个月前行放疗治疗。现患者仍有血尿,为求进一步诊治而入院,行泌尿系超声检查。
超声检查
1. 左肾形态失常,体积增大,内部结构紊乱,呈混合性回声,以实性为主,内部可见不规则无回声。CDFI:混合性回声内部及周边未见明显血流信号(图 1、2)。
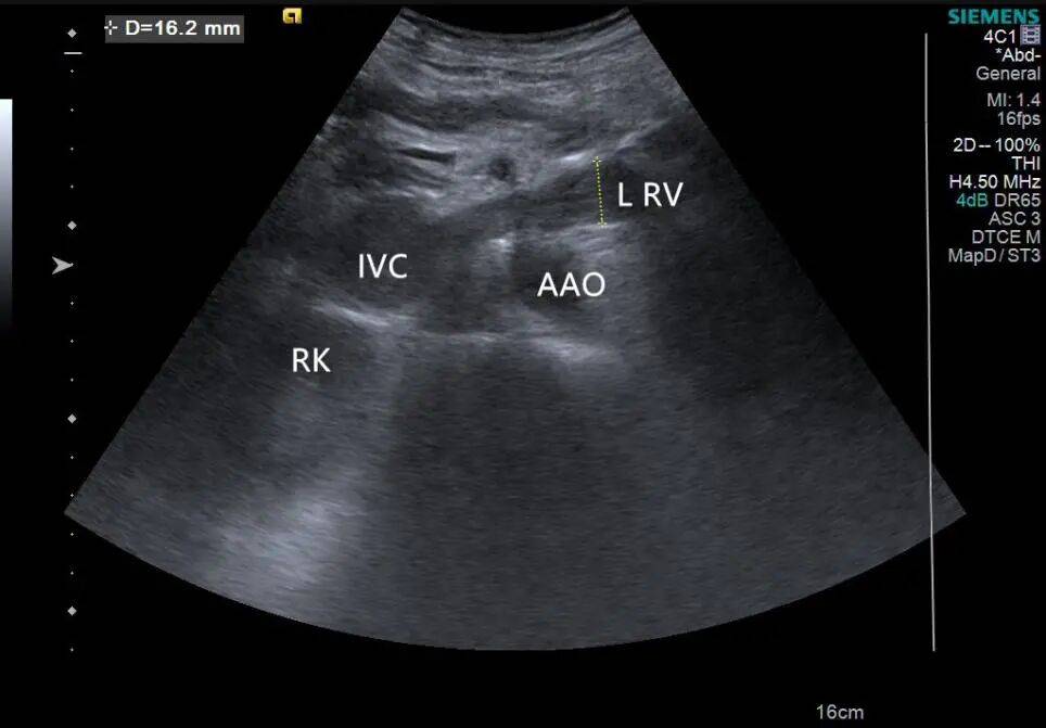
2. 左肾静脉增宽,前后径约 16 mm,其内充满低回声,下腔静脉增宽,前后径约 29 mm,其内充满低回声,向上延伸至右心房入口处。CDFI:左肾静脉、下腔静脉及其内低回声见星点状血流信号(图 3、4)。
超声诊断为肾癌合并肾静脉及下腔静脉癌栓形成,后经增强 CT 证实。

图 1 灰阶超声示肾癌超声表现( LK 左肾)

图 2 彩色多普勒超声示内部未见血流信号( LK 左肾)

图 3 灰阶超声示肾静脉及下腔静脉癌栓超声表现( RK 右肾 IVC 下腔静脉 L RV 左肾静脉 AAO 腹主动脉)

图 4 彩色多普勒超声示低回声内见星点状血流信号( RK 右肾 IVC 下腔静脉 L RV 左肾静脉 L RA 左肾动脉 AAO 腹主动脉)

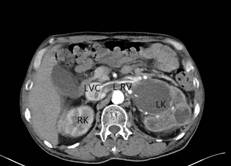
图 5 增强 CT( RK 右肾 IVC 下腔静脉 L RV 左肾静脉)
病例讨论
肾细胞癌(简称肾癌)是泌尿系统最常见的肿瘤之一,其发病率仅次于膀胱癌,位居第二,约占所有成人恶性肿瘤的 2%-3% 。
在肾恶性肿瘤中,肾癌约占 80%-90% ,余为肾盂癌、肾母细胞瘤等。
文献报道,从全球范围来看,男性肾癌发病率最高的国家和地区在欧洲和美洲,我国则处于较低水平,但是呈现逐年上升的趋势。这可能与影像学检查广泛应用于临床和体检有关。
文献报道,超过 60% 的患者在诊断时属于无临床症状的早期肿瘤。
肾肿瘤的病因尚不明确。研究表明,肾肿瘤的发病可能与下列因素有关:吸烟、肥胖、职业、经济文化背景、高血压、输血史、糖尿病、放射、药物、利尿剂、饮酒、食物、家族史。
根据 Robson 分期,肾癌分为四期。
I 期:肿瘤位于肾包膜内,仅局限于肾实质内;
Ⅱ 期:肿瘤突破肾包膜,侵犯肾周脂肪,但仍局限于肾周筋膜内;
Ⅲa 期:肿瘤侵犯肾静脉或下腔静脉;
Ⅲb 期:肿瘤侵犯周边淋巴结;
Ⅲc 期:肿瘤侵犯肾静脉、下腔静脉、淋巴结;
IVa 期:肿瘤侵犯除肾上腺外的邻近器官;
IVb 期:肿瘤远处转移。
肾癌的临床表现呈现多样性,其中血尿、腰痛、腹部肿物被称为肾癌三联征。此外,肾脏患者尚有发热、消瘦、贫血、高血压、肝功能异常等症状。
因此,肾癌的诊断主要依靠影像学检查,其中以超声最为常用。
大多数肾癌的超声表现为肾内实质性团块,回声强度呈现多样性,可为高回声、低回声、等回声、混合性回声。
研究表明,当肿瘤 <3 cm ,即小肾癌时,肿瘤通常形态规则,呈圆形,具有假包膜回声,约有半数可呈高回声(图 6)。
而对于较大的肿瘤,则表现为低回声、等回声,或因肿瘤内部出现出血、坏死、液化、钙化等情况而呈混合性回声(图 7-8)。
此外,尚有影像学表现为囊性为主的囊性肾癌,约占肾癌总数的 10%-15% (图 9)。
彩色多普勒超声可显示肿瘤的血供情况,或为星点状、或为短条状,甚至表现为丰富血流。同时,肿瘤的大小、范围影响着肾脏的大小、形态。肿瘤较小时,肾脏大小、形态可不受影响,反之肾脏形态失常,体积增大。

图 6 透明细胞肾癌,灰阶超声表现为高回声

图 7 透明细胞肾癌,灰阶超声表现为等回声

图 8 透明细胞肾癌,灰阶超声表现为低回声

图 9 囊性肾癌,灰阶超声表现为囊性为主的混合性回声
多数情况下,超声诊断肾癌并无困难,超声诊断符合率可达 90% 左右,但仍需要进行鉴别诊断。
1、肾柱肥大
当肿瘤呈等回声时,两者需进行鉴别。肾柱肥大是正常肾组织的变异,其回声与肾皮质相同,动态观察可见其与肾皮质相连续,局部血管走行正常,随访观察无进行性变化。
2、肾错构瘤
当肿瘤呈高回声时,两者需进行鉴别。肾错构瘤周边多无低回声晕,周边及内部多无血流信号,而肾癌则相反。
3、肾囊性病变
囊性肾癌可表现为单纯性囊性占位、复杂性囊性占位,以及囊实混合性占位。对于肾囊性病变,如出现以下几种情况,应引起重要:
① 多而厚的分隔;
② 厚度 >2 mm 的不规则囊壁;
③ 囊壁或分隔上有实性结节;
④ 囊壁见血流信号。
此外,我们也要认识到:肾癌具有较强的血管侵袭性,容易向静脉系统扩散。
文献报道,约有 4%-10% 的肾癌患者发生静脉癌栓,最常侵犯肾静脉、下腔静脉,甚至右心房。
因此,面对肾癌患者,我们尚需观察是否存在静脉癌栓,尽量全面评估患者的病情。
题图及文中图片来源 / 作者提供