假如你的面前有两个孩子,他们都罹患低级别胶质瘤,但一位孩子肿瘤体积巨大,一位则较小,那么,谁的认知功能是正常的?有些人可能会猜测,肿瘤的体积越大,对神经的压迫就越重,那么孩子出现认知功能障碍或精神问题的可能性或许更大。然而,INC国际儿童脑瘤大咖、世界小儿神经系统专业杂志《Child´s Nervous System》现任主编Concezio Di Rocco教授发表的研究《Pretreatment neuropsychological deficits in children with brain tumors》(儿童脑肿瘤治疗前的神经心理学缺陷)中则提出了不一样的观点。


肿瘤越大,认知更易有缺陷?

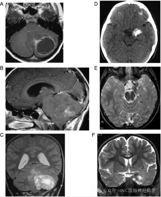
上面是两组不同肿瘤体积/占位效应与神经认知状态之间的对比。左侧列(A-C)的患儿为左侧小脑半球巨大毛细胞型星形细胞瘤(WHO I级),巨大的囊性肿瘤明显压迫到了小脑及脑干,幕下高压又进一步导致继发枕骨大孔扁桃体下疝,同时伴有脑积水。然而,尽管存在如此显著的占位、扁桃体下疝及脑积水,该患儿的认知功能却是正常的。
那么右侧列(D-F)的患儿呢?可以明显看出,肿瘤的体积小了不止一圈,同样为低级别的神经节细胞胶质瘤,与左侧那位患儿相比,右侧的患儿病情似乎减轻不少,病灶广泛钙化,无水肿,肿瘤局限于颞叶钩回,占位效应轻微。奇怪的是,尽管病灶小、局灶效应极轻,但患儿却表现为重度精神发育迟缓及自闭症。
上述只是Di Rocco教授在研究中提及的两位患儿,实际上,在研究中包含的83例新诊断为脑肿瘤的患儿中,约50%都在诊断时就出现了认知困难,这提示脑瘤会对孩子的认知及精神功能产生影响。
方法及结果
Di Rocco教授对83例新诊断脑肿瘤患儿(平均年龄8.6岁,范围7个月至16.6岁,中位年龄9.4岁)在治疗前进行与年龄相应的全面认知测试,并用MRI评估肿瘤部位、体积及相关因素。
结果显示,50%的患儿在初诊断时就存在某些认知领域的困难,6%存在精神发育迟缓的表现。肿瘤部位是认知缺陷的主要决定因素,皮质肿瘤患儿损伤最重。症状持续时间、癫痫发作与神经心理障碍显著相关,而影像学肿瘤变量与神经认知表现无明显相关。

总结
儿童脑瘤的治疗与长期认知功能障碍相关。如果能够了解患儿在治疗前就已存在的认知缺陷或精神问题,那么对评估治疗效果来说至关重要,这也可以帮助判断后续治疗是否造成了认知功能的下降。但神外医生仍需密切监测某些临床变量,如肿瘤部位、症状持续时间、是否诱发癫痫等,这些因素可能与孩子的神经心理预后密切相关;努力减少这些因素的影响有望改善长期预后。
Concezio Di Rocco教授(意大利)
擅长领域
Concezio Di Rocco教授在儿科神经外科及科领域的临床治疗经验颇为丰富,是国际公认的儿科神经外科专家。自2014年5月起,就担任了德国汉诺威国际神经科学研究所(INI)的儿科神经外科主任。Concezio Di Rocco教授教授尤为擅长小儿神经纤维瘤、癫痫、脑积水、蛛网膜囊肿、颅缝早闭、脑和脊髓肿瘤、脑和脊柱畸形(半椎体畸形,皮质发育不良,脊髓脊膜膨出,脊髓内脂肪瘤,Arnold-Chiari畸形)等难治病症方面的治疗,进行过12,000多次神经外科手术。
学术成就
Concezio Di Rocco教授曾受到来自法国、埃及、吉尔吉斯斯坦等国家的邀请进行讲座和现场演示,包括2018年10月19日至20日,在我国北京参加了第15届临床神经外科国际课程,进行小儿脑室肿瘤的外科治疗讲座。Concezio Di Rocco教授除了拥有高超的技术之外,还擅长将总结的经验通过文字理论的形式展现出来,他的临床治疗科学研究报告刊登在国际同行评审的期刊上,所出版的书籍和书籍章节中包含的430多篇文章也被高度认同。
此外,Concezio Di Rocco教授还是国际儿童神经系统杂志的主要编辑,涉及范围包括国际儿科神经外科学会的官方期刊、欧洲小儿神经外科学杂志日本儿科神经外科学会、韩国小儿神经外科学会以及巴西小儿神经外科学会的内容。Concezio Di Rocco教授还和M.Choux和K.Hovind教授一起创办了儿童神经外科研究生课程,该项课程在过去三十年里为世界培养了无数儿童神经外科医生。Concezio Di Rocco教授将其领先的治疗技术分享给世界各地儿科神经外科医生进行借鉴参考和学习,为世界儿科神经外科的发展做出贡献。