在儿童肿瘤的诊疗领域中,室管膜瘤的潜在威胁时常被低估。该肿瘤在儿童中枢神经系统肿瘤中发病率位列第三,仅次于星形细胞瘤与髓母细胞瘤,约占儿童颅内肿瘤的10%以及脊柱肿瘤的25%。室管膜瘤在出生至4岁这一年龄段呈现相对高发态势,而当儿童成长至7-9岁时,其发病率则会出现显著下降。本文将分享一位罹患3级恶性室管膜瘤女孩的真实治疗经历,她的母亲见证了女儿面对疾病威胁时展现出的顽强生命力,并最终迎来了希望的曙光。
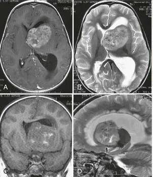
3岁的文文因长期存在恶心呕吐症状而前往医院就诊,经检查发现侧脑室存在巨大占位性病变。面对这一诊断,家人在决策时表现得十分审慎,并未立即决定治疗方案,而是辗转于多家医院与门诊之间,期望能寻找到最为稳妥的治疗路径。
巨大的侧脑室占位
然而,意外情况突然发生。就在家人四处咨询期间,文文的病情出现了急剧变化。她突发意识模糊,继而陷入昏迷状态。接到家人电话通知时,文文母亲的心情瞬间沉入谷底。她迅速赶往急诊室,医生告知文文出现了梗阻性脑积水的症状,必须立即接受手术干预。时间紧迫,不容犹豫,文文母亲只能目送女儿被推进手术室。手术很快完成,医生首先为文文放置了外部脑室引流管以缓解梗阻性脑积水,但导致积水的根本病因——肿瘤,并未被清除,因此后续手术依然势在必行。
再次苏醒的文文表现得异常安静乖巧,她没有询问自己的病情,只是变得格外沉默,并默默地为母亲擦拭眼泪。文文母亲始终无法忘记女儿望向自己的眼神,那眼神仿佛在诉说:“妈妈,我还想继续陪伴在你身边。”
经过再次转诊,文文一家遇到了巴特朗菲教授。这个被其他医生视为治疗难题的肿瘤,却得到了巴教授肯定的答复。他告知文文母亲,手术具备可行性,并且他对此抱有相当大的把握。
手术是可行的,而且把握很大。
仿佛抓住了救命稻草的文文母亲,眼中重新燃起了希望。她激动地握住巴教授的手,连连道谢:“教授,请您一定要救救我的女儿,我不能失去她……”
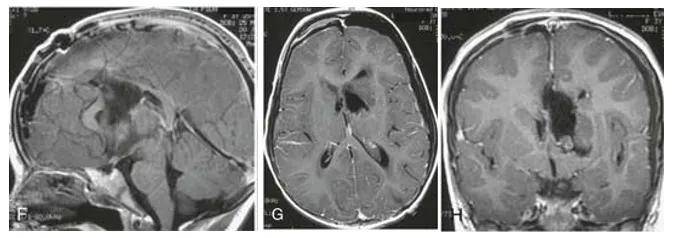
最终,这场由巴教授主刀的手术取得了成功。在术中磁共振与术中神经导航技术的辅助下,肿瘤被精准地完全切除。术后病理报告证实为室管膜瘤,分级为3级。术后,文文未出现任何新的神经功能损伤。鉴于肿瘤的恶性性质,她后续仍需接受放疗与化疗,以控制肿瘤复发的风险。
尽管文文的治疗过程总体顺利,但每当文文母亲回顾这段经历时,仍不禁感慨:“文文的经历给我上了深刻的一课,是她教会我如何面对生命中的无常与可能的离别。有时候,无需思虑过多,只需擦干眼泪,坚定地继续前行。”

1. 室管膜瘤是否必须接受手术治疗?
答:对于新确诊的儿童室管膜瘤,手术治疗是首选方案。手术不仅能够明确病理诊断,还能最大程度地切除肿瘤细胞、缓解临床症状。手术在室管膜瘤的整体治疗中占据关键地位,因为肿瘤的全切程度与患者预后改善密切相关。若手术未能实现肿瘤完全切除,则术后需辅以放疗和化疗,以进一步清除残余肿瘤细胞,尽可能使其进入“休眠”状态。需要特别注意的是,放疗可能对低龄儿童的神经发育产生影响,因此儿童室管膜瘤的放疗存在年龄限制。通常建议3岁以上儿童方可考虑放疗。若患儿年龄未达放疗标准,则术后需先行化疗。
2. 室管膜瘤是否容易复发?
答:室管膜瘤存在较高的复发风险。尤其是位于小脑附近的室管膜瘤,由于手术区域解剖结构复杂,肿瘤不易被彻底清除,术后复发概率相对更高。若出现复发,应考虑再次手术,并结合放疗与化疗。此外,约有10%的室管膜瘤病例会出现肿瘤细胞向大脑或脊髓其他部位扩散的情况。复发性室管膜瘤通常侵袭性更强,且更容易对药物治疗产生耐药性。
3. 室管膜瘤的预后情况如何?
答:在单因素与多因素分析中,肿瘤的切除程度与患者预后存在明确关联。肿瘤切除率越高,患者的生活质量与生存期往往越好。此外,较高的MIB-1标记指数以及肿瘤次全切除,是提示肿瘤侵袭性行为与不良预后的指标。一项涵盖12447例儿童及青少年病例的研究显示,室管膜瘤的生存率已有显著提升,中枢神经系统肿瘤的5年生存率分别达到60%与64%。其中,室管膜瘤的预后相对较好,儿童与青少年的5年生存率分别为84%和81%。
4. 术后家长需要注意哪些事项?
答:鉴于室管膜瘤易复发的特性,而早期复发可能并无明显症状,因此在治疗结束后,定期进行增强核磁共振检查以进行随访至关重要。同时,家长应对治疗可能带来的不良反应有清晰认知。需要密切观察并长期跟踪孩子的生长发育状况。一旦发现问题,应及时就医,以便医生对治疗方案进行相应调整。