一、嘴上的“雀斑”,肚里的“隐患”
5岁的花花,从小嘴唇周围就长着不少深褐色小斑点,看上去就像普通雀斑。家人一直以为只是孩子肤色偏黑、晒太阳多导致的色素沉着,并没有放在心上。直到一次突发剧烈腹痛,花花被紧急送往医院,检查后才发现:孩子的小肠里已经长满了息肉,甚至引发了肠套叠——这是一种可能危及生命的急腹症。最终,通过基因检测,花花被确诊为 黑斑‑息肉综合征(Peutz‑Jeghers Syndrome,PJS)。



这是一种发病率仅1/2万~1/20万的罕见遗传病。它最危险的地方在于:那些看起来无害的皮肤黑斑,往往是身体发出的预警信号,提示消化道内可能已生长大量息肉。这些息肉不仅会引发肠套叠、出血等急症,还有很高的癌变风险。
二、什么是黑斑-息肉综合征?
黑斑-息肉综合征是一种常染色体显性遗传病。它的名字来源于两位医生——1921年荷兰医生Peutz首次描述,1949年美国医生Jeghers系统阐述了其临床特征。
该病由STK11基因突变引起。这个基因位于19号染色体上,编码一种重要的肿瘤抑制蛋白。当基因发生突变,细胞增殖和代谢调控失控,导致两个主要后果:
1.皮肤黏膜出现黑色素沉着(黑斑)
2.消化道多发错构瘤性息肉
由于是显性遗传,患者的直系亲属(父母、子女、兄弟姐妹)有50%的概率携带致病基因。
三、三大典型特征:从皮肤到肠道的“危险信号”
1
皮肤黏膜色素沉着——最早的“警报”
这是PJS最直观的表现,通常在婴幼儿期或儿童期就会出现:
好发部位:
口唇(尤其是下唇)、口腔黏膜、手指/脚趾末端、手掌、足底
外观特点:
深褐色或黑色斑点,1-5mm大小,圆形或不规则形,表面光滑,不凸起
变化规律:
随年龄增长可能加深或增多,青春期后部分患者的黑斑可能逐渐消退
重要提示:
约10%的儿童患者可能没有明显黑斑,而是以肠道症状首发,这类患者更容易被漏诊。
2
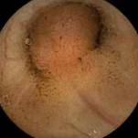
消化道多发息肉——体内的“定时炸弹”
息肉可遍布除食管外的整个消化道,这些息肉的病理类型多为错构瘤性息肉(正常组织的异常排列),但具有独特的组织学特征:平滑肌细胞呈树枝状生长,形成特征性的“假浸润”表现。
3
肿瘤易感性——终身面临的挑战
PJS患者一生中发生恶性肿瘤的风险显著升高,70岁时累积患癌风险可达85%,是普通人的15倍以上:
消化道肿瘤:
结直肠癌、胃癌、小肠癌、胰腺癌
消化道外肿瘤:
乳腺癌(女性风险极高)、卵巢癌(尤其是卵巢环状小管性索瘤)、宫颈癌、睾丸癌、肺癌等
癌变主要通过“错构瘤→腺瘤→腺癌”的途径发生,因此早期监测和干预至关重要。
四、儿童期最凶险的并发症:肠套叠
对于PJS患儿,肠套叠是最需要警惕的急症。数据显示:
首次发生肠套叠的中位年龄:16岁
10岁前发生风险:15%
20岁前发生风险:50%
好发部位:95%位于小肠
当息肉直径≥15mm时,极易诱发肠套叠,表现为:
阵发性剧烈腹痛(孩子可能阵发性哭闹、屈膝缩腹)
呕吐(早期为胃内容物,后期可能含胆汁)
果酱样血便(典型但晚期表现)
腹部包块(腊肠样包块)
紧急处理:肠套叠属于外科急症,需立即就医。多数需要手术复位,且术后5年内有约40%的患者需要再次手术。
五、如何诊断?记住这四条标准
根据国际共识和2023年临床指南,符合以下任意一条即可临床诊断PJS:
1.≥2个经组织学证实的PJS型错构瘤性息肉;
2.任意数量的PJS息肉+直系亲属有PJS家族史;
3.特征性皮肤黏膜色素沉着+直系亲属有PJS家族史;
4.任意数量的PJS息肉+特征性皮肤黏膜色素沉着。
确诊“金标准”:STK11基因检测。对于临床诊断不明确或家族史阳性的疑似病例,建议进行基因检测。
六、治疗与管理:终身随访是关键
目前PJS尚无根治方法,治疗目标是预防并发症、早期发现癌变、提高生活质量。
1
息肉的处理策略
内镜治疗:胃镜、结肠镜、小肠镜下切除息肉
手术指征:息肉巨大、引起肠套叠/梗阻/大出血、怀疑恶变
关键建议:当息肉直径≥15mm时建议积极切除,以预防肠套叠。
2
终身癌症监测方案
根据国内外指南,PJS患者需从儿童期开始严格监测:
胃肠道内镜(包括胃镜、结肠镜和小肠镜检查)建议从8岁开始,每2年进行一次。
女性患者的监测包括:
乳腺检查或MRI:从25岁起每年检查一次;
妇科超声及相关检查:从6-8岁开始,每12-25个月检查一次;
宫颈癌筛查:从21岁起按常规筛查要求进行。
男性患者需进行睾丸超声检查,从4-10岁开始,每2年一次。
胰腺CT或MRI检查建议从30-35岁开始,每1-2年进行一次。
3
家族成员管理
基因检测:确诊患者的直系亲属应进行STK11基因检测
产前诊断:对于有明确基因突变的家庭,可考虑产前基因诊断或胚胎植入前遗传学诊断(PGD)
七、给家长的特别提醒
如果您的孩子出现以下情况,请务必警惕PJS的可能:
口唇、手指、足底有不明原因的深褐色斑点,且自幼就有
反复腹痛、便血、贫血,尤其是缺铁性贫血
儿童期发生肠套叠或肠梗阻
家族中有类似皮肤表现或消化道息肉病史
作者

钟雪梅
首都医科大学附属首都儿童医学中心消化内科主任、主任医师
参考文献
Yamamoto H, et al. Clinical Guidelines for Diagnosis and Management of Peutz-Jeghers Syndrome in Children and Adults. Digestion. 2023.
文、摄 | 钟雪梅
编辑 | 宣传中心 郝洁