






洗牙是口腔基本保健,也是牙周疾病的基础治疗,但是根据牙周情况及口腔卫生的不同,洗牙后的反应也是因人而异,这里给大家科普一下。
一、 术后常见正常反应
(无需过度担心)
1. 牙齿敏感与酸痛:术后几天内,牙齿对冷、热、酸、甜等刺激可能比平时更敏感。这是因为洗牙去除了包裹在牙齿表面的牙结石,原本被牙石覆盖的牙根面暴露,对外界刺激更敏感。通常一周左右会逐渐缓解。
2. 牙龈出血:洗牙后一两天内,刷牙或漱口时可能有少量血丝,这属于正常现象。因为牙龈的炎症和肿胀在洁治后不会立刻消失,需要时间恢复。
3. 牙缝变大感:这是最常见的感觉之一。其实牙缝并没有变大,而是之前填满牙缝的牙结石和肿胀的牙龈被清除了,还原了您牙齿本来的间隙。这是口腔恢复健康的标志。也是提醒您,您的牙洗得有点晚了。(但是再晚也比不洗强)
4.牙齿松动:牙周病严重的患者,伴随着牙槽骨有不同程度的吸收丧失,洁牙后松动牙很难恢复稳定,但是牙周医生会根据您牙周具体的情况给予系统的治疗方案。

二、 术后关键注意事项
1. 饮食方面(术后2-3小时内避免进食):
即刻:麻醉未消退前(如有),请勿进食,以免咬伤嘴唇或颊部软组织。
2-3小时后:可进食温凉、清淡的软食(如粥、面条、酸奶、面包等)。
24-48小时内:避免过冷、过热、过酸、过甜及辛辣刺激的食物,以减少对牙齿的刺激。
避免染色食物:一周内尽量少饮用或食用容易染色的食物,如咖啡、浓茶、可乐、酱油、咖喱、红酒等,以免色素沉着。

2. 口腔清洁(至关重要):
当天即可刷牙:洗牙后可以立即刷牙,但动作需格外轻柔,使用软毛牙刷,仔细清洁牙齿与牙龈交界处。
温和漱口:术后可正常漱口,但24小时内避免用力漱口,避免使用刺激性漱口水(如含酒精的)。建议使用温水或医生推荐的漱口水(如氯己定、西帕依鼓固龈液等漱口水等,需遵医嘱使用)。
坚持使用牙线/冲牙器:牙缝的清洁至关重要,请每天至少使用一次牙线或冲牙器,彻底清除牙缝中的菌斑,这是防止牙结石再次快速形成的关键。

3. 生活习惯:
戒烟限酒:烟草和酒精会刺激牙龈,影响愈合过程,并导致牙菌斑和牙石加速形成。建议至少术后一周内避免。
避免用牙签:不要用牙签剔牙,以免损伤牙龈,导致牙缝越来越大。清洁牙缝请使用牙线。
三、 如何缓解不适
抗敏感牙膏:如果牙齿敏感症状明显,可以使用有抗敏感效果的牙膏。连续使用一段时间后会明显改善。建议在医生指导下选购使用。
温水漱口:进食后可用温水漱口,帮助保持口腔清洁,减少刺激。

四、 需要警惕并及时联系
医生的异常情况
虽然少量出血和敏感是正常的,但如果出现以下情况,请及时就诊:
洗牙后出血不止,且血量较大。
疼痛剧烈,无法通过常规止痛药缓解。
牙龈肿胀加剧或有脓液流出。
出现全身发热等不适症状。

五、 最重要的长期建议:
定期维护
洗牙不是一劳永逸的。口腔是一个有菌环境,牙菌斑每天都在不断形成。因此:
定期复查洁治:
1.建议每6个月至1年进行一次口腔检查和洁治。
2.对于牙周病患者,可能需要更频繁的维护(如3-6个月一次)。这是维持牙周长期健康、防止牙结石复发的唯一有效方法。


3. 肿瘤患者放化疗前也应该进行常规进行洗牙治疗和口腔全面检查,及时去除口腔内的炎症,以防治疗后口腔感染的加重影响肿瘤的治疗。

日常有效清洁:每天坚持早晚刷牙(每次至少2分钟)、使用牙线,是保持洗牙效果的基础.

如果恐惧看牙可以预约笑气下洗牙治疗。

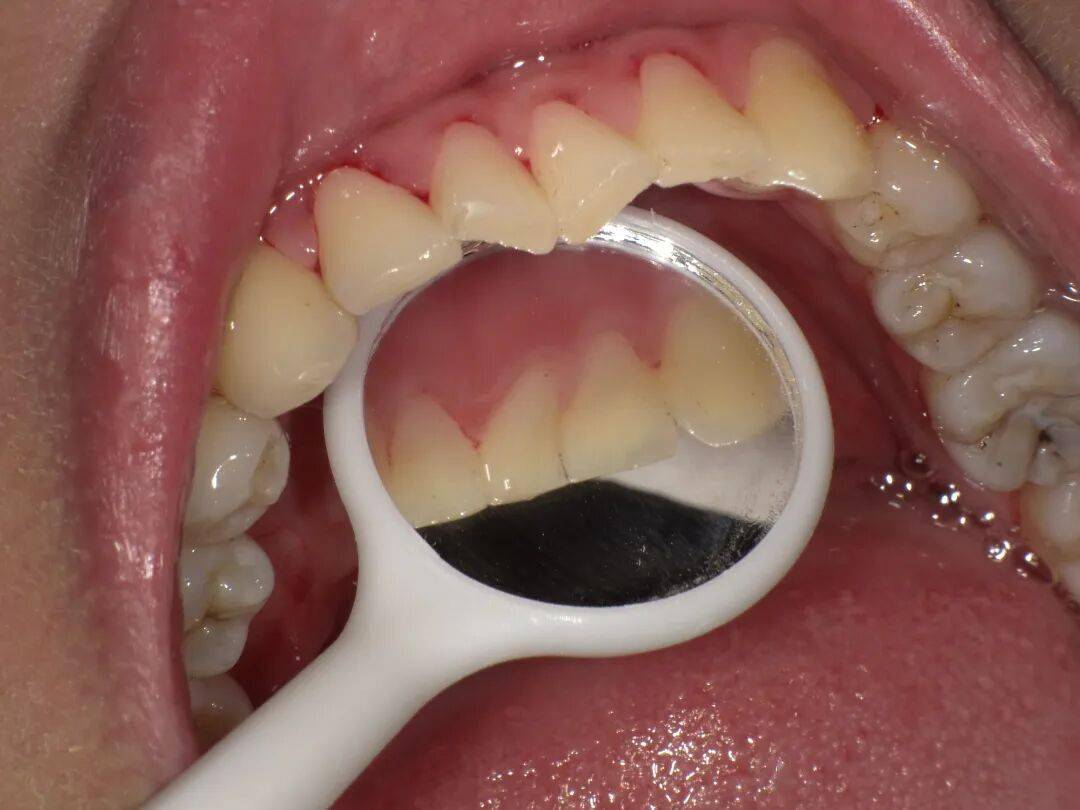
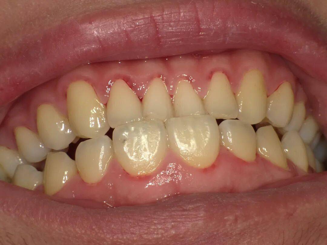
洁牙术前术后图片对比:

洁牙术前

洁牙术后

洁牙术前

洁牙术后
长时间没有洗牙或者牙龈出血,以及即将开始肿瘤治疗的患者赶紧预约北京胸科医院口腔科的洁牙门诊,体验一下舒适洁牙吧。
北京胸科医院口腔科预约方式:

稿件提供 | 口腔科 崔丹
图片提供 | 口腔科
页面编辑 | 宣传处