“医生,我只是坐了个长途飞机,
下飞机后有点胸闷气短,
怎么就要进抢救室了?”
这不是危言耸听
而是一个真实且经常发生在医院的场景
西安中医脑病医院
医学影像中心主任任小军介绍道
在高铁、飞机上长时间久坐
已成为现代出行的常态
然而,鲜为人知的是
这种看似平常的行为背后
可能潜藏着一个致命风险
肺动脉栓塞
一
肺动脉栓塞是什么?
想象一下,我们的肺部是一个庞大的交通网络,肺动脉是主干道,负责将全身回流的血液送到肺部去补充氧气。
而肺栓塞,就是身体其他部位的“血栓”(常见于腿部深静脉)脱落,随血流漂流,最终堵塞了肺动脉主干道或其分支。主干道一旦堵塞,氧气交换无法进行,心脏负荷急剧增加,可在短时间内导致猝死,极其凶险。


二
为什么长时间坐飞机/高铁是高危因素?
高铁和飞机客舱空间狭窄,旅客长时间保持同一坐姿(如超过4小时),下肢肌肉(尤其是小腿腓肠肌)无法有效收缩挤压血管,导致血流速度显著减慢。同时,客舱内空气干燥,若不及时饮水,身体容易处于轻度脱水状态,血液会因此变得相对粘稠。
血流缓慢与血液高凝,这两个因素叠加,为深静脉血栓的形成创造了条件。当您突然起身活动时,这些新形成的血栓就可能脱落,踏上“危险的旅程”,随血流经过肺动脉循环,最终堵塞肺动脉。
这种因久坐出行导致的情况,也被称为“经济舱综合征”。
三
长途出行后有这些症状,请立刻就医!
肺栓塞的症状多样且缺乏特异性,从“毫无症状”到“猝死”都有可能,极易被误诊为“心脏病”或“肺炎”。但出现以下症状时,一定要警惕,及时到医院做影像检查:
1、突发不明原因的呼吸困难,尤其是活动后加重;
2、胸部出现刺痛、钝痛,深呼吸或咳嗽时疼痛加剧;
3、咳血(多为少量血丝痰);
4、莫名的心慌、出汗、面色苍白,甚至晕厥;
5、单侧腿肿、疼痛。
四
影像科“火眼金睛”,如何确诊肺动脉栓塞?
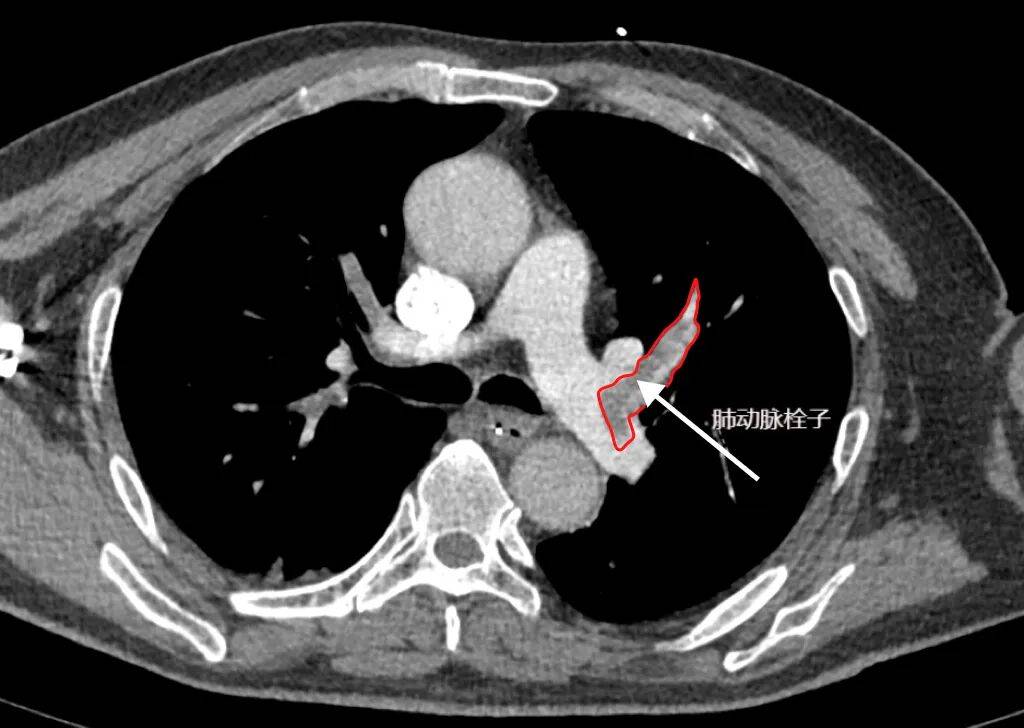
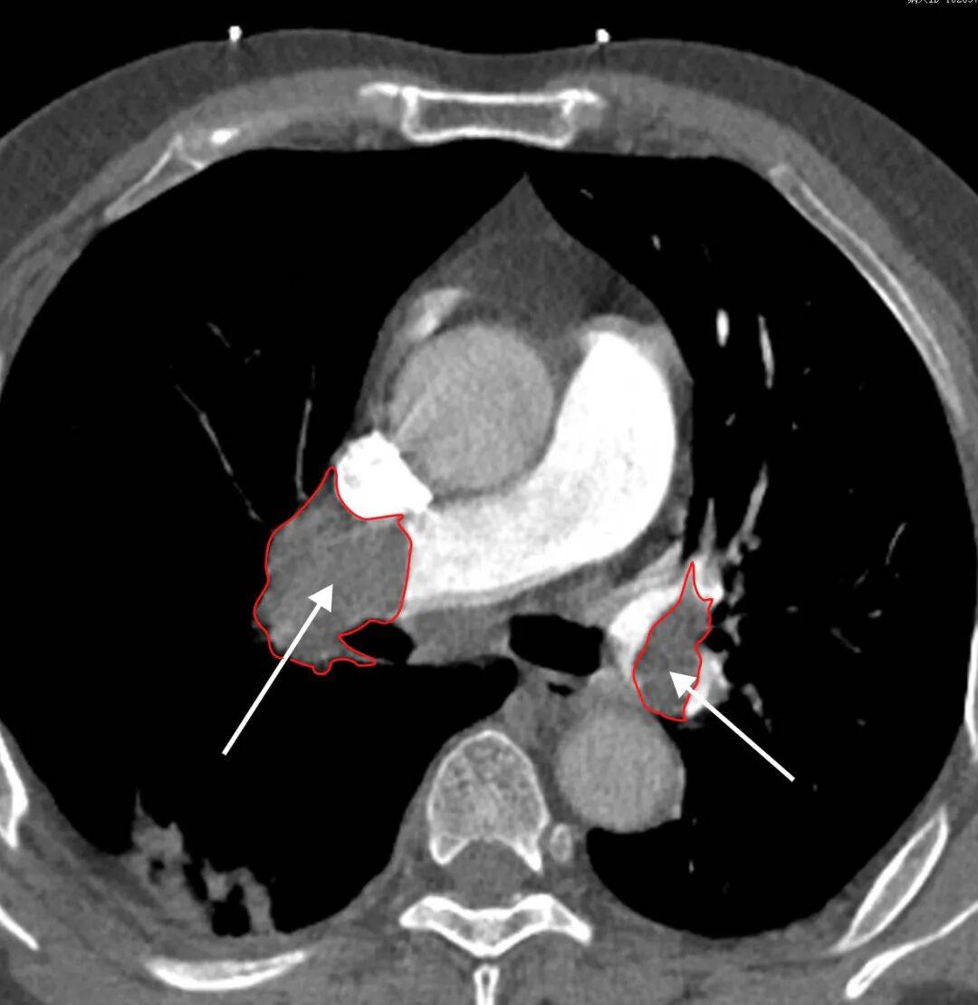
怀疑肺栓塞时,医生会开出一系列检查单,影像学检查是其中的绝对主力。肺动脉栓塞的症状(如胸痛、呼吸困难、咯血)与肺炎、冠心病等疾病相似,单靠症状难以区分,必须通过肺动脉CT血管造影(CTA)检查才能精准诊断。
检查原理:通过肘静脉注射含碘造影剂,再用CT快速扫描肺部血管,让堵塞血管的血栓“显形”——影像上会看到肺动脉内有“充盈缺损”(就像水管里卡了一块石头,水流无法通过)。该检查速度快、准确率高,能清晰显示直径1-2毫米的小血栓,还能同时排查肺部感染、肿瘤等其他疾病,是目前各级医院诊断肺动脉栓塞的选择。


(上图CTPA为肺栓塞,可见黑色充盈缺损为肺动脉栓子堵塞了肺动脉血管通路(箭头处))
五
久坐出行这样做,远离血栓风险
长时间坐高铁、飞机时,记住3个“小动作”,就能大幅降低风险:
1.每1小时起身活动:在车厢、机舱内走动2-3分钟,或在座位上做“勾脚动作”(双脚脚尖向身体方向勾,再放下,重复10-15次),促进下肢血液流动;
2. 多喝水:每天喝1500-2000毫升水,避免脱水导致血液黏稠;
3. 特殊人群提前准备:有血栓病史、孕妇、老年人或肥胖人群,可在医生指导下穿医用弹力袜,减少下肢静脉血液淤积。