【胸科医声·王冲】切结节,能不切肺吗?
创始人
2026-04-04 08:35:01
0

能!

一些良性结节边界清楚

有完整包膜

在肺内活动度好

可以通过剥除的方法切除病变,而不损失肺组织

王冲医生

我们来看三个病例

【病例1】

男性,50+岁,右肺上叶磨玻璃结节+右上叶实性结节

磨玻璃结节很典型,像 早期肺癌

实性结节边界清晰,内部有脂肪密度,像 错构瘤

手术方式:

胸腔镜下, 磨玻璃结节给予楔形切除,实性结节给予剥除

如何切?

CT上看实性的病变很深,周围有粗大的血管(中央静脉)

1、以中央静脉为标志,向远端游离,离断部分小静脉,就可以触及病变

2、虽可触及,但无法把病变拎起来,也没办法用卵圆钳含住,单纯按压病变只会把它推的更深

3、把支气管当砧板,用手指钝性分离病变表面的肺,等到肺组织足够薄时,病变就会自己“冒”出来(如上图),最后用卵圆钳取出。

4、肺创面进行缝合

病理显示,磨玻璃结节为微浸润癌,实性结节为错构瘤。

楔形切除对于周围型的微浸润癌完全足够!

剥除病灶为患者完整保留了右肺上叶!

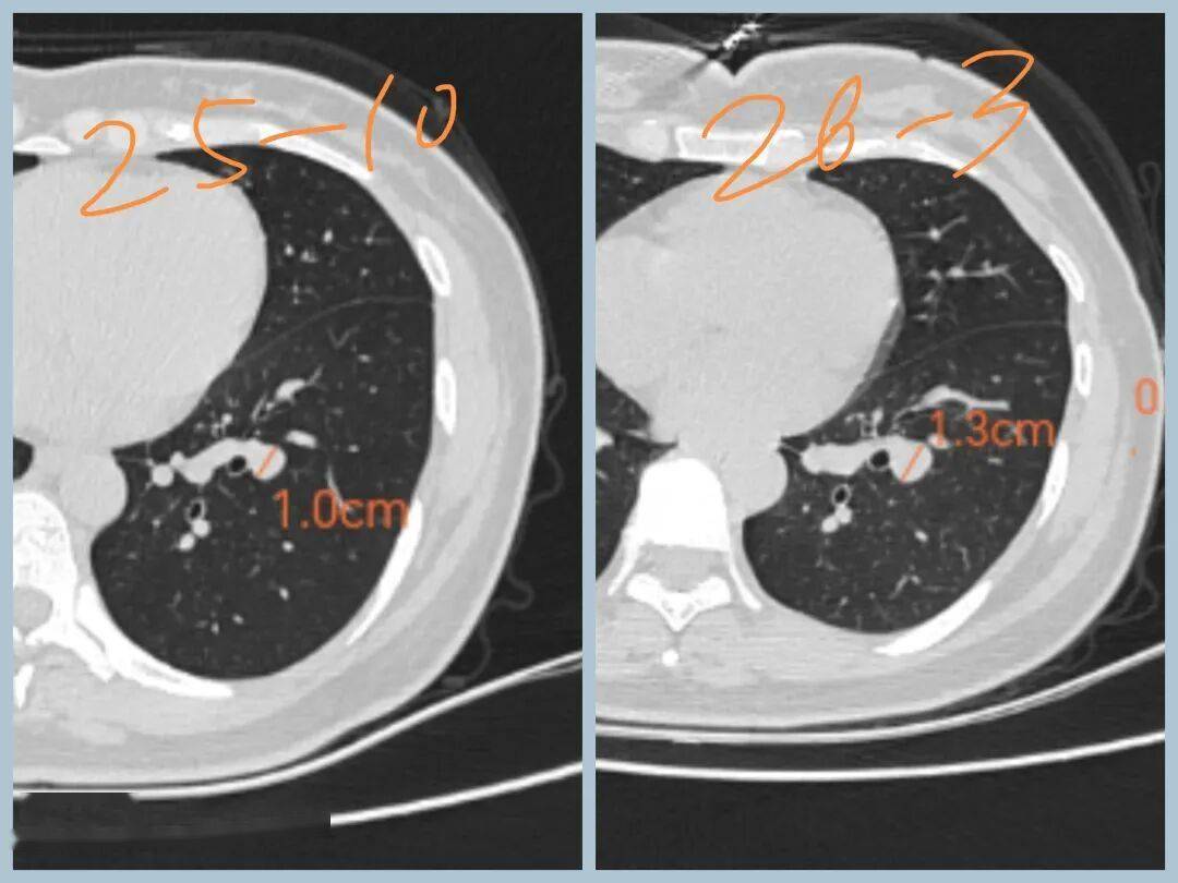
【病例2】

男性,40+岁,发现左下叶实性结节5年

患者诉结节刚发现时为0.8cm,形态像良性,给予定期复查

后结节 逐渐增大

2026年3月CT示病变1.6cm

虽然病变像良性,但一直在增大,不能除外肺癌,因此有手术指征。

(再早片子无法追溯,只能对比24年的片子。)

术前CT示:左肺下叶基底段实性结节,大小1.6cm,边界清,有浅分叶,内部密度不均,有点状高密度。看形态确实像良性。

术前讨论时有两种观点:

1、做肺叶切除,保证把病变切下来;

2、做肺段切除,尽可能地多保留些肺组织。

但这两种手术方式都不完美:

切肺叶可能损失的肺太多;

切肺段太复杂,还不能保证能切下病变(因为病变活动度大,有可能受挤压跑到其它肺段)。

我的建议:

切口开大点,保证能伸进去两个手指, 用手把病变捋到胸膜下,然后进行剥除。

最终病灶被顺利剥除,病理为错构瘤,下叶完整保留,非常NICE!

什么,您觉得我开大切口了,不算微创?

切口小,但是切的肺多;

切口大(也没大多少),但不切肺;

这两种情况您觉得哪个是微创?

肺和切口,您觉得哪个重要?

【病例3,网络咨询】

女性,30+,发现双肺结节5个月

分别是右肺上叶纯磨玻璃结节,大小约8mm

左肺下叶实性结节,大小约1cm

5个月后复查,右肺磨玻璃结节无变化,左肺实性结节增大

下一步怎么办:

1、磨玻璃结节无增大,原位癌可能,可继续观察

2、左下叶结节增大,有可能是低度恶性肿瘤,如类癌。也可能是良性病变,如错构瘤、硬化性肺泡细胞瘤。半年后再复查,继续增大,建议手术。

3、手术方式可 尝试剥除,若无法剥除,或为恶性,则行肺叶切除。

【总结】

1、边界清楚的、偏良性的病变以随访为主, 手术要有明确指征

2、手术尽量剥除,减少肺损失

3、不要拘泥于切口大小,多快好省地解决问题是最重要的。

4、我们要思考到底什么是微创,双手的精细程度不是器械和机械臂能比的。

5、这几个良性结节不切行不行?单看片子当然可以,但都有特殊之处:

(1)第一个病例,同一肺叶两处病变,既然都做一次手术了,留下一个病变不切,不合适!

(2)第二个病例,CT上看像良性,但进行性增大,敢不切么?

(3)第三个病例,病变有增大趋势,也是有手术指征的。

来源 | 胸外科 王冲

相关内容

热门资讯

从“谈癌色变”到“防癌有方” ... 对普通公众来说,很多人都是谈“癌”色变,认为癌症就是绝症。其实,癌症是一种慢性疾病,从正常细胞发展到...
原创 医... 很多人一提到戒烟,脑子里首先冒出来的不是好处,而是难受, 甚至会下意识觉得“以后再说”。尤其是烟龄比...
健康科普 | 我曾以为他只是性... 您可能见过这样的孩子:在游乐场里认真地反复排列石子的孩子,对所有公交车站站名倒背如流的孩子,听到一些...
关注心理健康:海南凯健与你同行... 海南凯健制药有限公司自成立以来,始终秉承“以人为本,科技创新”的理念,专注于提升药物质量,服务于大众...
浙江人等这一口就为清明!青团里... 潮新闻客户端 记者 孙燕 通讯员 张文玥 清明在即,不少浙江人饭桌上已经上了青团。青团的重要原材料是...
汇正财经:减肥药“口服时代”有... 2026 年 4 月 1 日,礼来(LLY.US)股价单日大涨超 5%,直接驱动力是 FDA正式批准...
别让“意外怀孕”伤了未来!这份... 科学避孕 保护生育能力 在妇产科门诊,每天都出现因“意外”怀孕而陷入焦虑的女性。有人因心存侥幸未采取...
高血脂要少吃米饭?医生:不光是... 米饭吃多了会升高血脂?别急着扔掉电饭煲—— 真正该警惕的,是那四种“伪装成主食”的隐形油脂炸弹。 ...
2026居家养老平台白皮书政策... 前言 据《2025中国智慧养老产业发展白皮书》数据显示,我国60岁以上老年人口已突破3.2亿,占总人...